Rejuvenating a Ruined Implant Site Having Severely Damaged Bone
Even after a failed implant and significant bone loss, it is often possible to rebuild the ridge and restore a healthy foundation for a new implant. The keys are thorough infection control, biologically sound bone augmentation with growth factors, and precise CBCT based planning for the future implant position.
From Destruction to Rejuvenation
Mr. O arrived with a severely compromised ridge. A previous implant had been inserted with a perforation that led to a large infection and further bone breakdown after the implant was removed. Another implant was about to be placed into the damaged site without first rebuilding the bone, which would have risked massive reinfection and potentially rendered the area inoperable for any future implant.
Our approach:
- Performed debridement under oral sedation to remove all infected tissue and contaminants.
- Augmented the ridge using bone particles combined with a growth factor to reestablish the proper width and density.
- Used CBCT based virtual planning to determine the prosthetically ideal implant position before the placement stage.
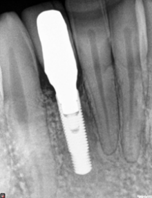
The implant site was converted from a hopeless situation into a healthy, implant ready ridge with a very good prognosis. With the width and density restored, the final result appears natural and stable.

Composite image summarizing the rejuvenation of a ruined implant site with severely damaged bone
Why Preplanning and Guided Placement Matter
- Infection control first: placing an implant into an infected site risks reinfection and further bone loss.
- Biologic rebuild: grafting with growth factors can restore ridge width and density for long term stability.
- Prosthetic driven planning: CBCT guidance helps position the implant ideally for the final crown and gum architecture.
Frequently Asked Questions
Can a ruined implant site be rebuilt?
Yes. After thorough debridement, ridge augmentation with biologics can restore bone for a predictable implant.
Why is CBCT planning important?
It maps the ideal implant position before surgery and helps ensure precise, prosthetically driven placement.
What happens if an implant is placed without rebuilding the bone?
There is a significant risk of reinfection and additional bone loss, which may eliminate future implant options.
What materials are used in the graft?
We use bone particles with a growth factor to rebuild width and density for long term stability.
For patients with severely damaged implant sites, comprehensive bone grafting combined with guided surgery offers the best chance for successful restoration.
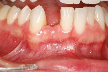
Additional Case Images
Extra views from this case for readers who want more clinical detail. These are not the primary figure set.

Additional view

Additional view

Additional view
See How We Resolve These Problems
Our patient success stories show real cases and real results. Browse outcomes from a specialist prosthodontist with decades of experience and 3,900+ implants placed.
Related Patient Success Stories
Explore similar patient success stories demonstrating our expertise in advanced prosthetic dentistry.
Temporary Crowns Restore Patient's Smile in Just One Day with an Immediate Smile Makeover
A patient from Potomac, Maryland, came to Elite Prosthetic Dentistry with the chief complaint of pain from a failing dental implant and its significant impact on her appearance.
Treating Kevin’s Collapsed Bite with a Complete Smile Makeover with New Dentures
Dentures are sometimes not created to the ideal aesthetic and functional scheme. When improperly fabricated, dentures can make an individual appear almost a generation older than their actual age. They can have a poor fit that feels loose and unstable when eating or speaking, and they can actually accelerate bone loss over time.
Salvaging Ms. N’s Severely Broken-Down Upper and Lower Teeth from Gum and Bone Disease
Many people in the U.S. suffer from extensive periodontal disease characterized by significant bone loss and shrinkage of the gum tissue. This condition can begin at a very young age and worsen quickly due to hereditary factors and lack of early diagnosis by their dentist.
Related Articles
Deepen your knowledge with additional insights on this topic.
Bone Grafting & Surgical Rejuvenating a Ruined Implant Site Having Severely Damaged Bone
Even after a failed implant and significant bone loss, it is often possible to rebuild the ridge and restore a healthy foundation for a new implant.
Bone Grafting & Surgical What is 'Ridge Augmentation' - Bone Grafting
Ridge augmentation rebuilds jawbone lost after tooth extraction or injury, creating a stable foundation for dental implants in Washington, DC.
Bone Grafting & Surgical What is a Partial (Internal) Sinus Lift?
Learn what a partial internal sinus lift is and how it gently raises the sinus membrane to create room for a dental implant. Washington, DC prosthodontist.