Can my Failed Implant be Salvaged? Bone Loss Around The Implant
Case Type II: When bone loss around an implant is getting worse, detoxification, bone grafting, and guided surgery can restore implant health and function.
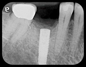
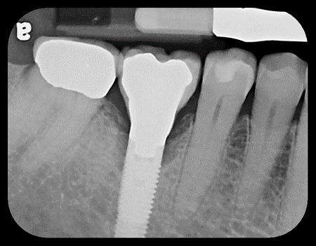
When an implant loses bone on multiple surfaces, it continues to fail and creates a large defect. Ms. R presented with a failing implant having several millimeters of bone loss around it (Fig. 1). The abutment and crown were removed and stored. The implant was detoxified, then grafted with growth-factor-enhanced bone (Fig. 2). After four months, the graft matured and the abutment and crown were reseated (Fig. 3 & 4). Six years later, the bone remains intact around the implant (Fig. 5).

Fig. 1: Failing Implant with Bone Loss Around It

Fig. 2: Bone Graft Repair Complete Fig. 3: Four Months Later, Bone Is Healed Fig. 4: Abutment and Crown Reseated After Healing Fig. 5: Six Years Later, Bone Is Intact
Frequently Asked Questions
Can a failed implant site be reused?
Yes - if detoxified and bone grafted, the site can support the original abutment and crown again.
How long after grafting can I have the implant restored?
Typically after 4-6 months of healing, once the graft has matured.
What does detoxification involve?
Removing bacterial biofilm and debris from the implant surface to create a clean environment for bone regeneration.
How durable is the graft long-term?
With proper care, grafted bone around implants can remain stable for 5+ years, as shown in this case.
See How We Resolve These Problems
Our patient success stories show real cases and real results. Browse outcomes from a specialist prosthodontist with decades of experience and 3,900+ implants placed.
Related Patient Success Stories
Explore similar patient success stories demonstrating our expertise in advanced prosthetic dentistry.
Temporary Crowns Restore Patient's Smile in Just One Day with an Immediate Smile Makeover
A patient from Potomac, Maryland, came to Elite Prosthetic Dentistry with the chief complaint of pain from a failing dental implant and its significant impact on her appearance.
Treating Kevin’s Collapsed Bite with a Complete Smile Makeover with New Dentures
Dentures are sometimes not created to the ideal aesthetic and functional scheme. When improperly fabricated, dentures can make an individual appear almost a generation older than their actual age. They can have a poor fit that feels loose and unstable when eating or speaking, and they can actually accelerate bone loss over time.
Salvaging Ms. N’s Severely Broken-Down Upper and Lower Teeth from Gum and Bone Disease
Many people in the U.S. suffer from extensive periodontal disease characterized by significant bone loss and shrinkage of the gum tissue. This condition can begin at a very young age and worsen quickly due to hereditary factors and lack of early diagnosis by their dentist.
Related Articles
Deepen your knowledge with additional insights on this topic.
Bone Grafting & Surgical Rejuvenating a Ruined Implant Site Having Severely Damaged Bone
Even after a failed implant and significant bone loss, it is often possible to rebuild the ridge and restore a healthy foundation for a new implant.
Bone Grafting & Surgical What is 'Ridge Augmentation' - Bone Grafting
Ridge augmentation rebuilds jawbone lost after tooth extraction or injury, creating a stable foundation for dental implants in Washington, DC.
Bone Grafting & Surgical What is a Partial (Internal) Sinus Lift?
Learn what a partial internal sinus lift is and how it gently raises the sinus membrane to create room for a dental implant. Washington, DC prosthodontist.