Smile Gallery at Elite Prosthetic Dentistry
See real patient transformations by Dr. Gerald Marlin. Browse before and after photos of dental implants, smile makeovers, full mouth reconstructions, and more.
Transformations That Speak for Themselves
At Elite Prosthetic Dentistry, every restored smile reflects our commitment to excellence, artistry, and personalized care. Explore real patient results and see what is possible when advanced specialty prosthodontics meets truly tailored treatment.

Dental Implant Surgery
Dental implant surgery is a sophisticated procedure where a titanium post is surgically placed into the jawbone to serve as a root for a replacement tooth. Dr. Marlin uses advanced techniques and technology to ensure optimal placement, osseointegration, and a natural-looking restoration that functions beautifully.






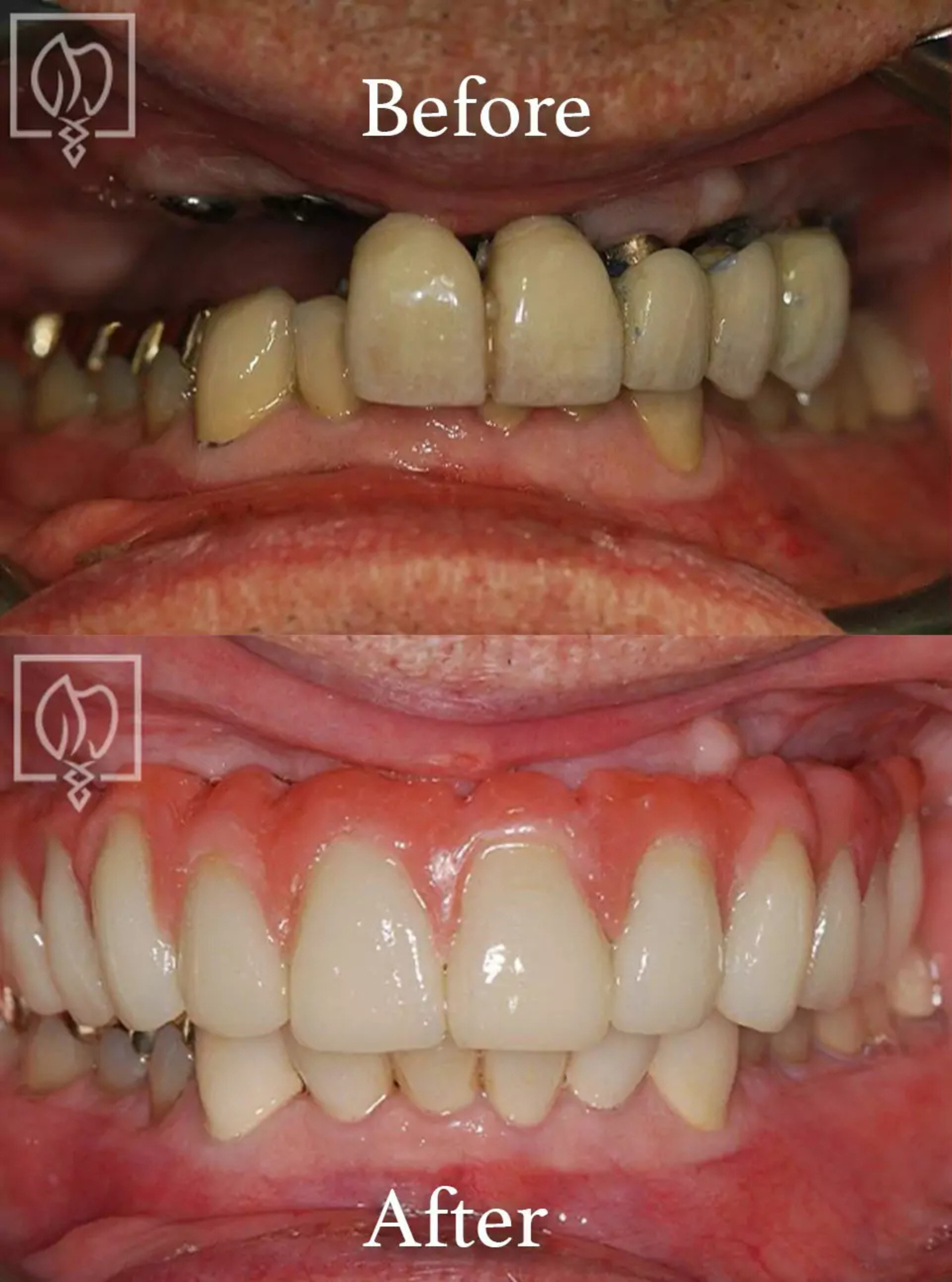
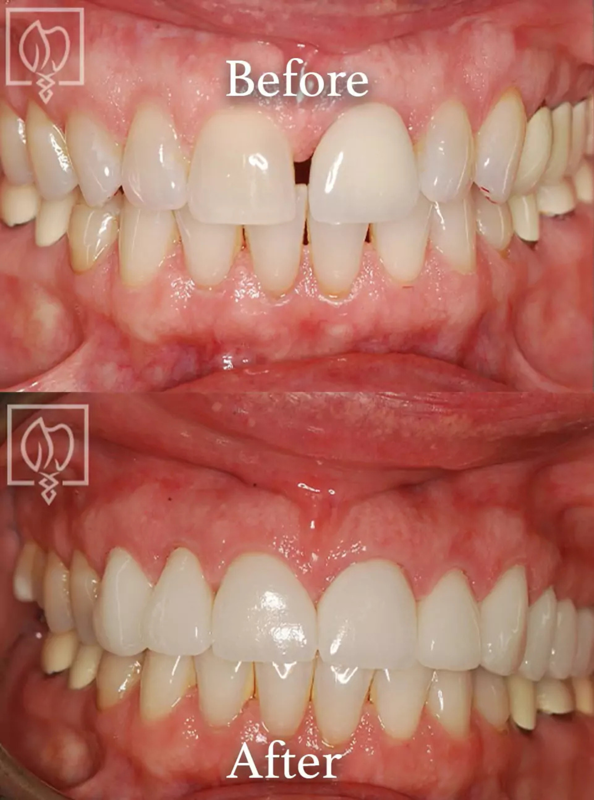
Restored Failing Dental Implant
When a previous dental implant has failed or is failing, it requires specialized expertise to diagnose the problem and create a lasting solution. Dr. Marlin specializes in rescuing compromised implants, using advanced diagnostics and proven restoration techniques to give patients a second chance at a healthy, functional smile.


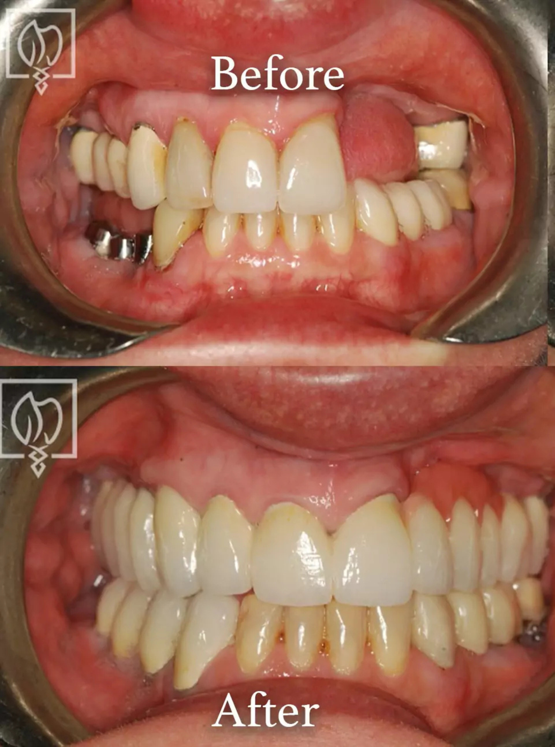
All-on-4 / All-on-6 Dental Implants
All-on-4 and All-on-6 are innovative full-arch restoration solutions that replace an entire row of missing teeth with just four or six strategically placed implants. These techniques provide patients with a permanent, natural-looking smile, improved eating function, and the confidence that comes with a complete dental restoration.



Cosmetic Smile Makeover
A cosmetic smile makeover combines multiple advanced techniques to completely transform the appearance of your smile. Whether through veneers, bonding, whitening, or implant restoration, Dr. Marlin crafts a personalized plan to address every concern and create a dazzling smile that enhances your entire appearance.












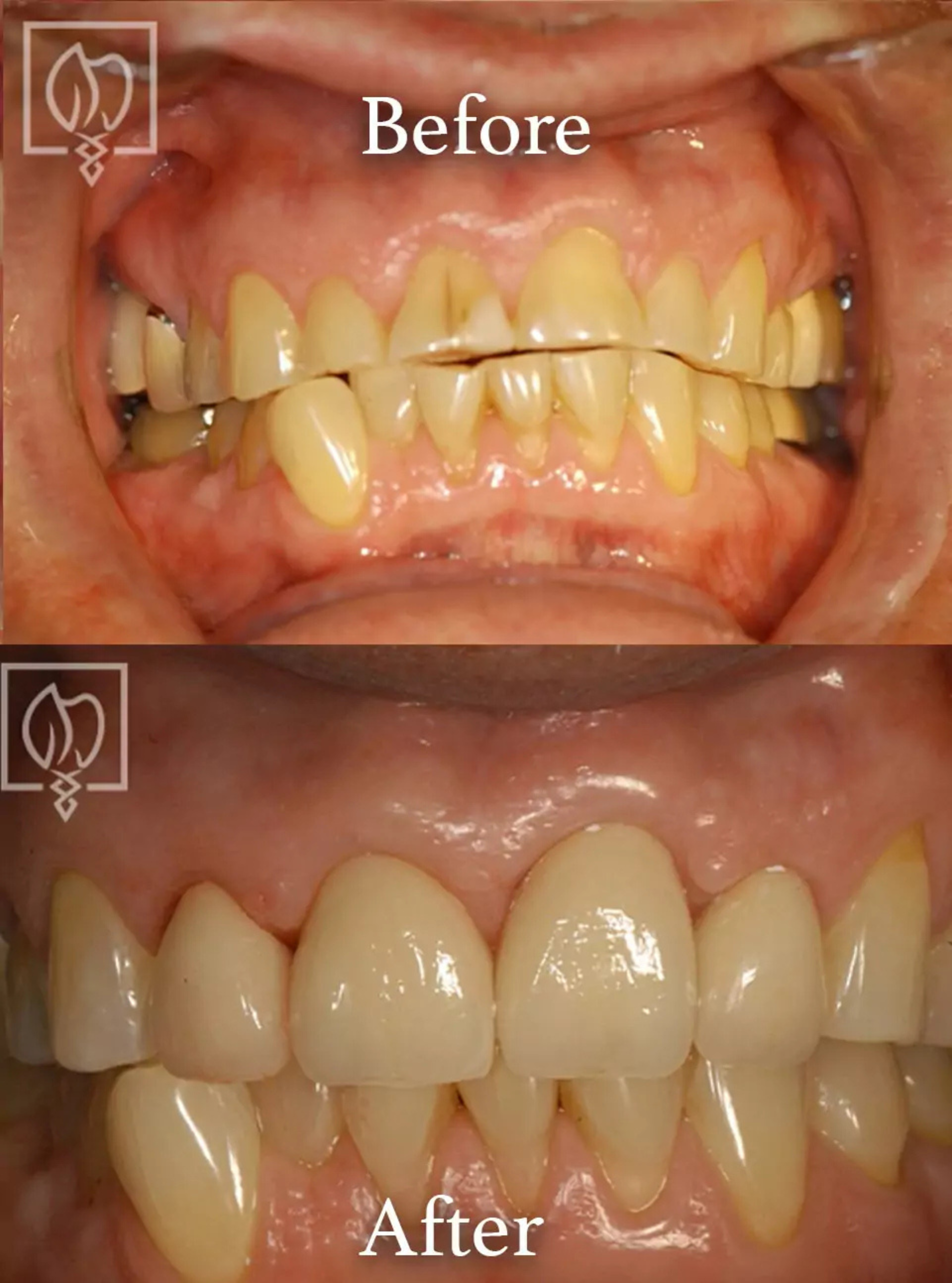
Full Mouth Reconstruction Without Implants
Full mouth reconstruction addresses severe dental problems using a comprehensive approach tailored to each patient’s unique situation. When implants are not suitable, Dr. Marlin employs advanced prosthodontic techniques including bridges, crowns, and other restorations to rebuild your entire smile for improved function and aesthetics.


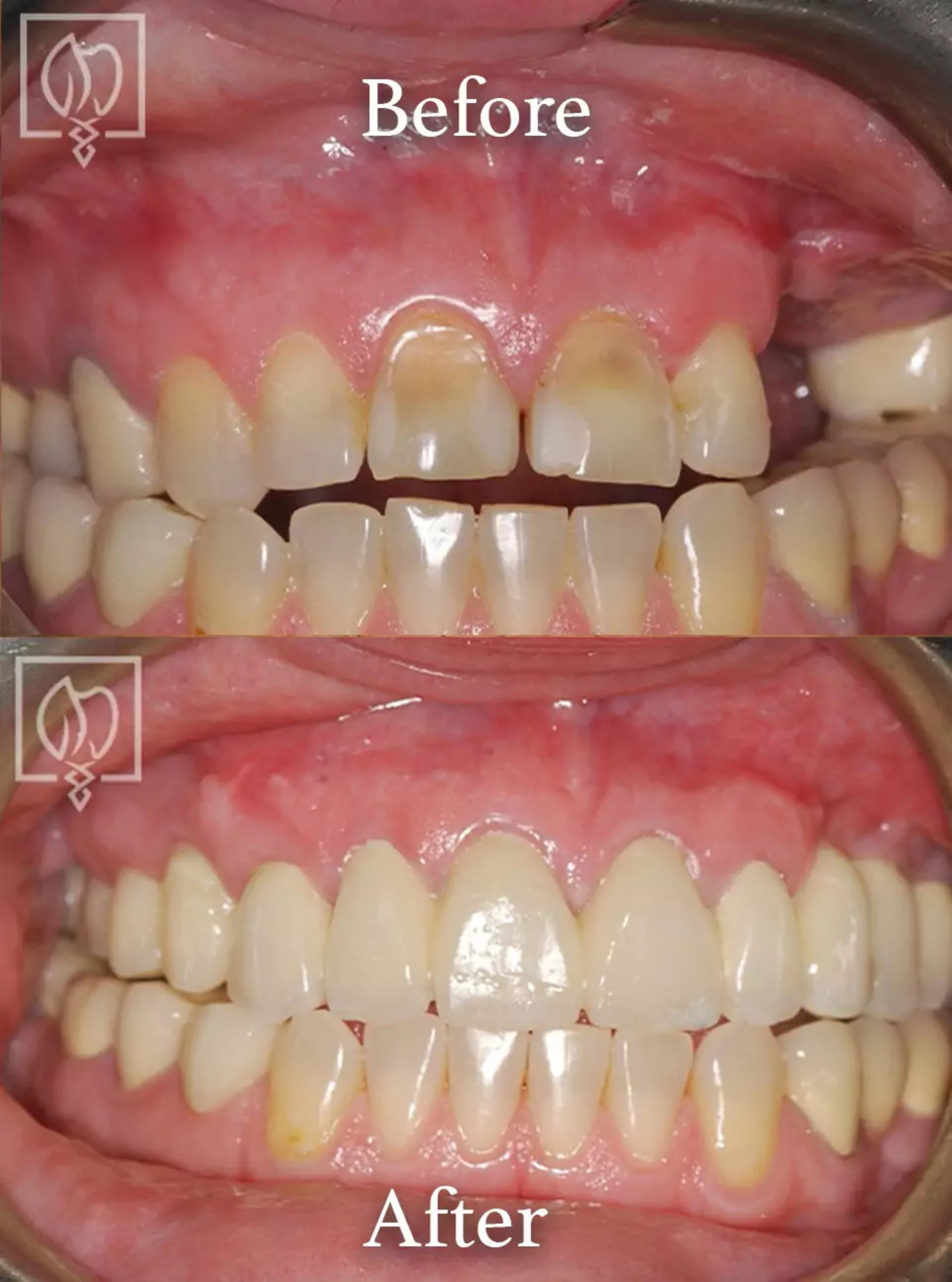
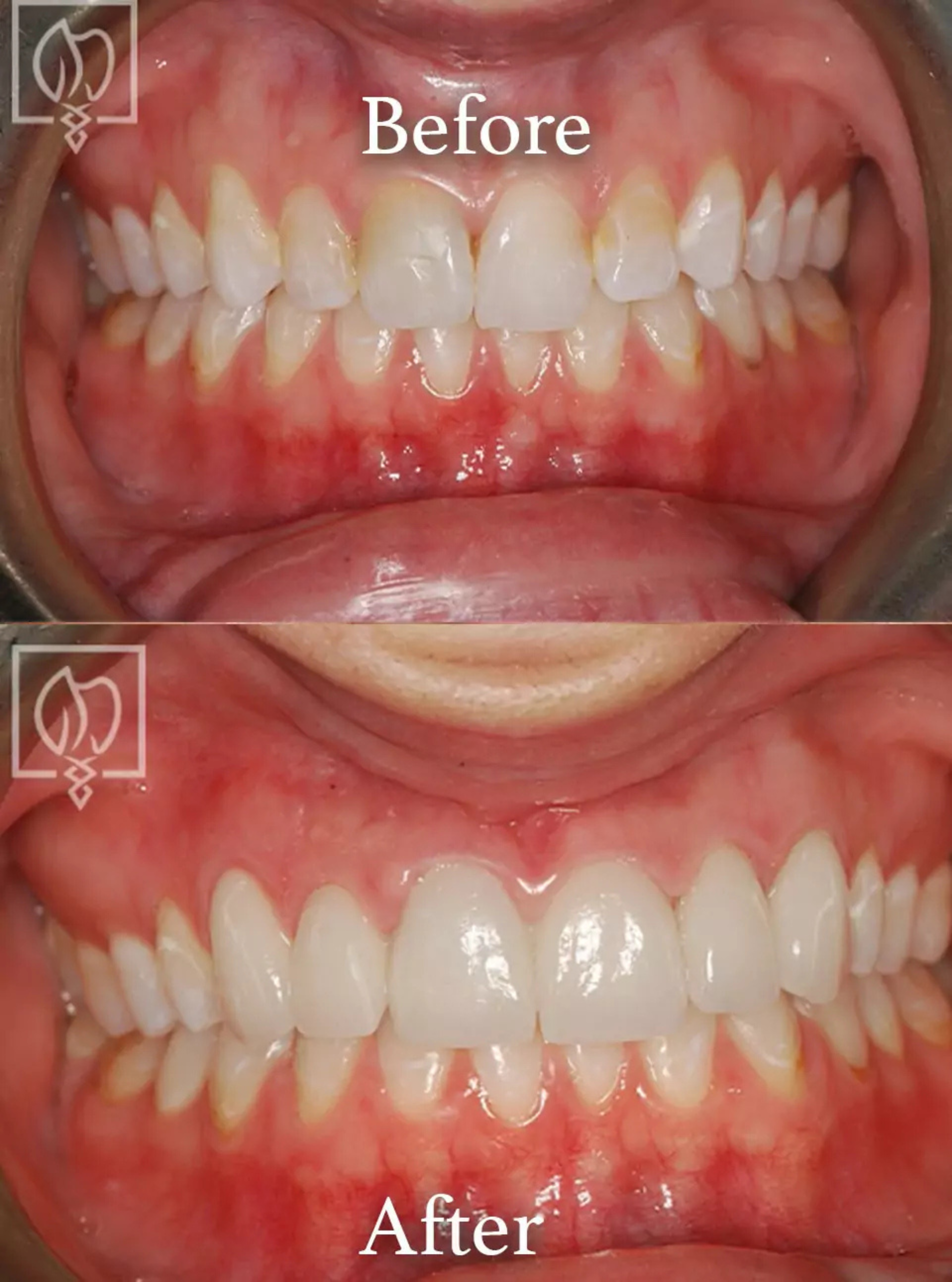
Discolored Teeth
Discolored teeth can be addressed through professional whitening, veneers, or crowns depending on the cause and severity. Dr. Marlin evaluates each case individually to recommend the most effective treatment, whether it is a simple whitening procedure or a more comprehensive cosmetic restoration to reveal your brightest smile.






Gummy Smiles Rehabilitated
A gummy smile can make you self-conscious, but the solution is simple and effective. Through careful gum contouring, orthodontics, or crown lengthening procedures, Dr. Marlin can reduce excess gum tissue and reveal more of your beautiful tooth structure, creating a balanced and stunning smile.


Immediate Temporary Dental Restorations
Immediate temporary restorations allow you to leave your appointment with a new tooth or teeth on the same day, even while permanent restorations are being fabricated. This approach maintains your appearance and functionality during the treatment process, ensuring you never have to face the world with a missing tooth.




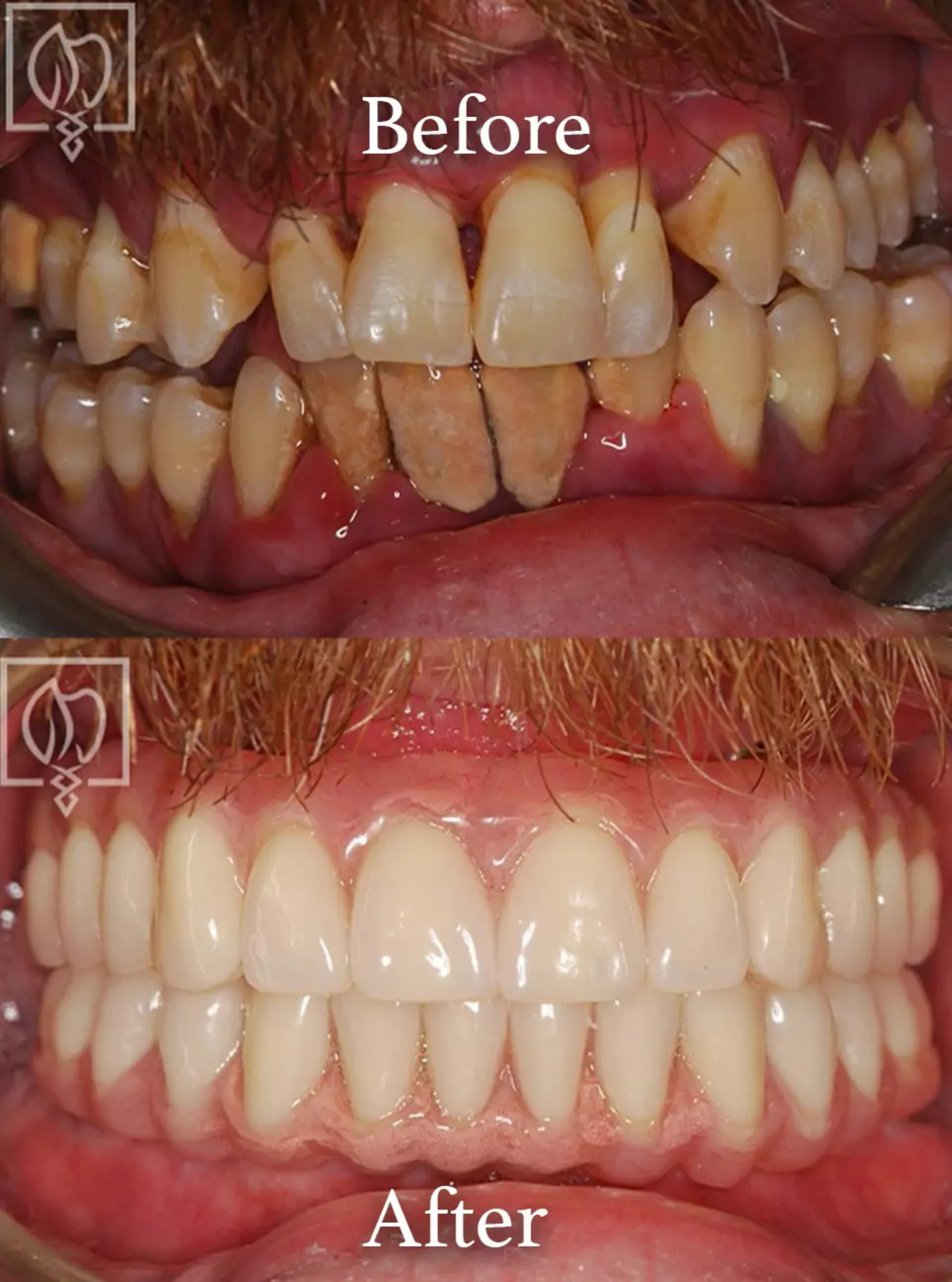
Repairing Teeth Grinding Damage
Teeth grinding (bruxism) can cause significant wear and damage over time. Dr. Marlin addresses both the cosmetic damage and functional concerns through protective strategies and restorations that rebuild worn tooth structure, restoring your bite and protecting your remaining natural teeth.



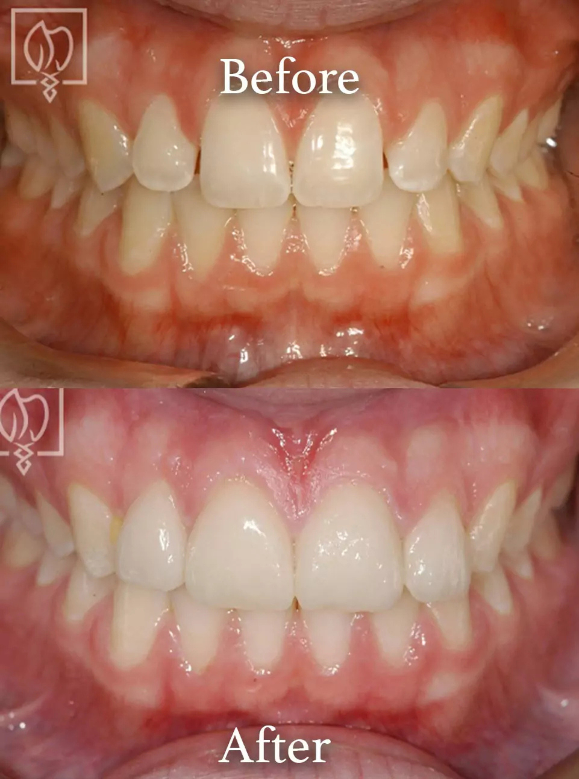
Dental Veneers
Dental veneers are ultra-thin, custom-made shells that cover the front of your teeth to enhance shape, color, and alignment. They are an excellent choice for minor cosmetic issues, and when expertly placed by Dr. Marlin, they create a naturally beautiful smile that looks completely authentic.

See What We Can Do for Your Smile
Every smile in our gallery started with a consultation. Take the first step toward your transformation.