When Are Veneers Not as Good as Crowns for a Smile Makeover?
There are several factors - dark coloration, high gingival margins, extensive shape changes - that can make veneers less suitable than crowns. Here’s what to consider before you choose veneer therapy.
There are several factors that can make veneers less attractive than crowns when remaking your smile: dark coloration that cannot be covered by the thin veneer, gingiva that is too high precluding a well contoured restoration, and a need to extensively change tooth shape. Before undergoing veneer therapy, these factors need to be considered.
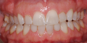
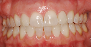
Ms. M presented because she was dissatisfied with the look of the veneers on her upper and lower lateral incisors (Fig. 1). They were too short and too dark. In her smile design, her gum tissue was reshaped higher, thereby removing the ability to use a veneer which does not adequately bond to an exposed root. By placing crowns on all four lateral incisors, our in-house lab was able to also provide a color to match her adjacent teeth (Fig. 2).

Fig. 1: Veneers on Lateral Incisors That Are Too Short and Too Dark

Fig. 2: Veneers Replaced by Crowns with More Natural Shape and Color
Frequently Asked Questions
When are veneers not recommended?
When teeth are too dark for a thin shell to mask, the gingival margin is too high for bonding, or significant shape changes are needed, crowns are a better option.
Do crowns require more tooth removal than veneers?
Crowns do require more preparation, but modern techniques preserve as much natural tooth as possible while ensuring long-term durability.
Is the crowning procedure painful?
We use local anesthesia and offer mild sedation. Most patients feel minimal to no discomfort during and after treatment.
How long do crowns last compared to veneers?
High-quality crowns can last 10-15 years or more with proper care, compared to 7-10 years for veneers.
See How We Resolve These Problems
Our patient success stories show real cases and real results. Browse outcomes from a specialist prosthodontist with decades of experience and 3,900+ implants placed.
Related Articles
Deepen your knowledge with additional insights on this topic.
Dental Crowns Why are Some Temporary Crowns More Natural Than Others?
Temporary crowns fabricated in our in-house laboratory are made to blend with each individual’s lip line, facial pattern, and adjacent teeth in Washington, DC.
Dental Crowns What Makes a Natural-Looking Crown?
A natural-looking crown blends with your gum tissue, matches your smile line, and has proper translucency and coloration. Washington, DC prosthodontist.
Dental Crowns How is an Immediate Smile Makeover Performed?
An immediate smile makeover uses personalized temporary crowns crafted to match your facial pattern and smile line while final restorations are made.