What is 'Ridge Augmentation' - Bone Grafting
Ridge augmentation restores the width, height, and angulation of a narrow or angled alveolar ridge, ensuring a stable, aesthetic foundation for dental implants.
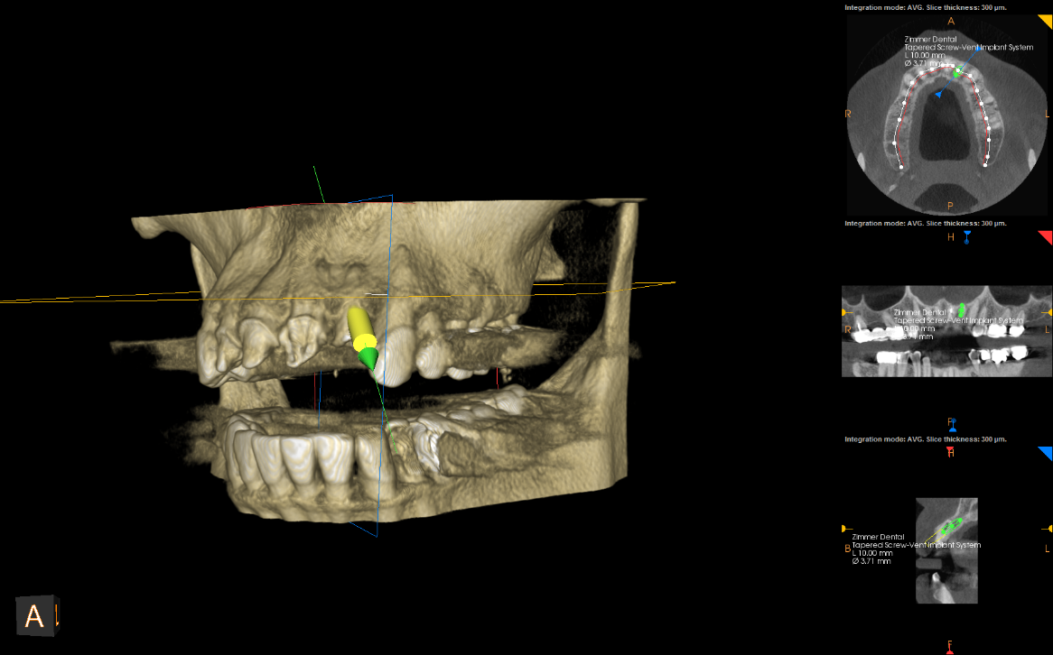
Ridge augmentation rebuilds jawbone when the alveolar ridge is too narrow (5.6 mm) or at a severe angle (45°), making implants unrestorable (Figs. 1, 2). In this case, the tooth was gently extracted to preserve adjacent bone. Bone grafting widened the ridge to 10.8 mm and corrected the angulation to 20° (Fig. 3). With a rejuvenated ridge, the implant was preplanned and placed in an ideal position beneath the temporary crown (Fig. 4).

Fig. 1: Atrophied 5.6 mm Ridge at a Severe Angle with Implant Being Unrestorable

Fig. 2: At 45 Degrees, Implant Is Unrestorable

Fig. 3: Bone Graft Widens the Ridge to 10.8 mm, Implant Angle Is Now 20 Degrees

Fig. 4: Precise Implant Placement in Ideal Position Now Possible
Frequently Asked Questions
Why is ridge augmentation necessary?
A narrow or angled ridge can jeopardize implant stability and aesthetics; augmentation restores proper dimensions.
How long does bone grafting take?
Healing typically takes 4-6 months before implant placement is possible.
Is grafting painful?
Local anesthesia and sedation options keep you comfortable; postoperative soreness is minimal.
Can implants be placed simultaneously?
In some cases, yes - if sufficient primary stability is achieved in the grafted bone.
Related Case Studies
Explore similar cases demonstrating our expertise in advanced prosthetic dentistry.
Complex Temporary Crowns Restore Patient's Smile in Just One Day with an Immediate Smile Makeover
Her dental implant looked artificial in her mouth and was impacting her smile. She had been very unhappy with her unsightly smile line and was beco...
Complex Multi-Faceted Treatment for Patient Unhappy With Her Artificial-Looking Crowns, Teeth and Gums
Many patients come to Elite Prosthetic Dentistry unhappy with the appearance of their smile. A particular patient who sought our help was very unha...
Standard Treating Kevin’s Collapsed Bite with a Complete Smile Makeover with New Dentures
Kevin came to us very dissatisfied with his existing condition. He looked much older than his age because his bite was collapsed and no one could r...
Related Articles
Deepen your knowledge with additional insights on this topic.
Rejuvenating a Ruined Implant Site Having Severely Damaged Bone
Even after a failed implant and significant bone loss, it is often possible to rebuild the ridge and restore a healthy foundation for a new implant.
If a Single Front Tooth is Replaced with an Implant, can it Look Natural?
A single front tooth implant can look completely natural with precision placement, custom abutments, and hand-crafted porcelain crowns. Washington, DC.
What is Precision Implant Placement (PIP)?
Learn what Precision Implant Placement (PIP) is and how meticulous planning ensures optimal implant positioning for long-lasting results in Washington, DC.