If a Single Front Tooth is Replaced with an Implant, can it Look Natural?
Yes - but only with painstaking preplanning, precision surgical placement, custom emergence-profile abutments, and hand-crafted porcelain crowns that match the adjacent central incisor.
Ms. R lost tooth #9 due to endodontic failure (Fig. 1). To achieve a lifelike “tooth,” we:
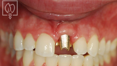
- Precisely center the implant (Fig. 2).
- Create an abutment with the correct emergence profile (Fig. 3).
- Hand-layer porcelain to replicate the shape, translucency, and shade of the adjacent incisor (Fig. 4).
Each step is critical to maintaining gum health, papilla form, and perfect aesthetics.

Fig. 1: Before, A Failed Central Incisor Tooth

Fig. 2: Implant Precisely Inserted

Fig. 3: Emergence Profile Abutment Seated on the Implant

Fig. 4: After, Crown Seated on the Abutment on the Implant
Frequently Asked Questions
Can a single-tooth implant look natural?
Yes - when every step from digital planning to final porcelain layering is executed precisely.
How important is the emergence profile?
Critical - for supporting soft tissue architecture and creating lifelike gum contours.
Will my new crown match my other teeth?
We custom-layer porcelain to match shape, translucency, and shade exactly.
How long does the process take?
Typically 3-4 months, including healing, abutment fabrication, and crown creation.
See How We Resolve These Problems
Our patient success stories show real cases and real results. Browse outcomes from a specialist prosthodontist with decades of experience and 3,900+ implants placed.
Related Patient Success Stories
Explore similar patient success stories demonstrating our expertise in advanced prosthetic dentistry.
Temporary Crowns Restore Patient's Smile in Just One Day with an Immediate Smile Makeover
A patient from Potomac, Maryland, came to Elite Prosthetic Dentistry with the chief complaint of pain from a failing dental implant and its significant impact on her appearance.
Multi-Faceted Treatment for Patient Unhappy With Her Artificial-Looking Crowns, Teeth and Gums
Many patients come to Elite Prosthetic Dentistry unhappy with the appearance of their smile. However, this particular patient presented with multiple interconnected problems that together created a smile she found deeply unsatisfying.
Treating Kevin’s Collapsed Bite with a Complete Smile Makeover with New Dentures
Dentures are sometimes not created to the ideal aesthetic and functional scheme. When improperly fabricated, dentures can make an individual appear almost a generation older than their actual age. They can have a poor fit that feels loose and unstable when eating or speaking, and they can actually accelerate bone loss over time.
Related Articles
Deepen your knowledge with additional insights on this topic.
Dental Implants If a Single Front Tooth is Replaced with an Implant, can it Look Natural?
A single front tooth implant can look completely natural with precision placement, custom abutments, and hand-crafted porcelain crowns. Washington, DC.
Dental Implants What is Precision Implant Placement (PIP)?
Learn what Precision Implant Placement (PIP) is and how meticulous planning ensures optimal implant positioning for long-lasting results in Washington, DC.
Dental Implants What is the ideal Surgical Guide for Precision Implant Placement?
CBCT-based surgical guides allow virtual implant planning for precise positioning in optimal bone, ensuring predictable results in Washington, DC.