Replacing your Failing Front Tooth with an Implant
The Challenge of Front Tooth Replacement
Losing one of your front teeth can be very frightening. Beyond the emotional impact, a missing front tooth affects your ability to speak and smile with confidence. Happily, you can replace that tooth with a dental implant that supports an abutment with a crown. However, for the replacement tooth to be most natural, the implant must be precisely placed at the right angle with the correct depth, and the abutment needs to be custom fabricated in order for you to have the best esthetic result. The crown itself must be fabricated with internal coloration and with enough translucency to match the adjacent teeth.
Front tooth implant cases are particularly challenging because they’re visible when you speak and smile. There’s no room for error in terms of appearance. The replacement tooth must match not just the color of your neighboring teeth, but also their texture, contour, and how light passes through the tooth. This is where expertise and our in-house laboratory capabilities become invaluable.
Understanding the Process
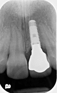
This twenty three year old woman presented to us as a teenager with her maxillary central incisor failing. The tooth was replaced with a bone graft and a removable appliance, which provided a temporary replacement tooth during her teenage years. After waiting an appropriate amount of time until she had stopped growing, we inserted the implant, itself, using a special CT Scan generated surgical guide so that it was placed at the right depth and angulation. Her dentition has been rejuvenated.
The timing of implant placement is crucial, especially in young patients. We waited until skeletal growth was complete to ensure the implant would integrate properly and maintain its position for decades. The use of guided surgery with the CT Scan ensured that the implant was positioned exactly right, allowing for a natural-looking crown that perfectly complements her smile.

Before: Failing maxillary central incisor

CT scan surgical guide for precision implant placement

After: Rejuvenated dentition with natural-looking implant crown
What You Need to Know
The new implant-supported maxillary central incisor was created using a special CT Scan generated surgical guide to ensure precise placement at the right depth and angulation. Her dentition has been rejuvenated with a restoration that looks and feels completely natural. She can now smile, speak, and eat with full confidence.
If you’re facing the loss of a front tooth, know that modern implant dentistry offers solutions that are virtually indistinguishable from your natural teeth. The key to success is choosing a prosthodontist with the expertise and resources to handle the unique challenges of front tooth replacement. Contact our office to discuss your options and begin your journey to a complete, confident smile.
Related Case Studies
Explore similar cases demonstrating our expertise in advanced prosthetic dentistry.
Complex Temporary Crowns Restore Patient's Smile in Just One Day with an Immediate Smile Makeover
Her dental implant looked artificial in her mouth and was impacting her smile. She had been very unhappy with her unsightly smile line and was beco...
Complex Multi-Faceted Treatment for Patient Unhappy With Her Artificial-Looking Crowns, Teeth and Gums
Many patients come to Elite Prosthetic Dentistry unhappy with the appearance of their smile. A particular patient who sought our help was very unha...
Standard Treating Kevin’s Collapsed Bite with a Complete Smile Makeover with New Dentures
Kevin came to us very dissatisfied with his existing condition. He looked much older than his age because his bite was collapsed and no one could r...
Related Articles
Deepen your knowledge with additional insights on this topic.
Rejuvenating a Ruined Implant Site Having Severely Damaged Bone
Even after a failed implant and significant bone loss, it is often possible to rebuild the ridge and restore a healthy foundation for a new implant.
If a Single Front Tooth is Replaced with an Implant, can it Look Natural?
A single front tooth implant can look completely natural with precision placement, custom abutments, and hand-crafted porcelain crowns. Washington, DC.
What is Precision Implant Placement (PIP)?
Learn what Precision Implant Placement (PIP) is and how meticulous planning ensures optimal implant positioning for long-lasting results in Washington, DC.