Implant Placement Using a Surgical Guide
The Importance of Surgical Guides
When dental implants are inserted in the bone of a jaw, a surgical stent or surgical guide should be used to center it in the space where a crown or other prosthesis is being placed. It is virtually impossible to place an implant in its ideal location without using the surgical guide, and frequently results in the abutment being off angle with the overlying crown being lopsided. This can affect hygiene, function, and esthetics.
A surgical guide is a custom-fabricated template designed specifically for your anatomy. It acts as a roadmap during implant placement, ensuring that your implant is positioned at the exact angle, depth, and location needed for your final restoration. This precision is essential because once an implant is placed, it cannot be moved or adjusted. That’s why getting it right the first time is critical to long-term success.
Why Precision Matters
Proper implant positioning affects more than just how your smile looks. The angle and placement of your implant impacts how well you can clean around it, how the restoration functions when you bite and chew, and how natural it appears to others. An implant that’s positioned incorrectly can lead to difficulty with oral hygiene, increased stress on the implant, and a restoration that looks unnatural. At Elite Prosthetic Dentistry, we use precision implant placement techniques combined with surgical guides to achieve optimal results.
See the following examples of implants placed in the lower right first molar in two different patients.

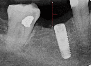
Patient Experience: Case 1
An Ideally Placed Implant Using a Surgical Guide

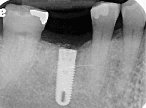
Patient Experience: Case 2
Implant Placed without Using a Surgical Guide
Notice the difference in positioning between the guided placement and the freehand placement. The ideally placed implant in Case 1 is centered in the available bone space, allowing for optimal restoration design and long-term stability. This is the standard of care that Dr. Marlin follows for every implant placement.
About the Author
Dr. Gerald Marlin is a Washington D.C. specialist in implant, cosmetic, and restorative dentistry.
Related Case Studies
Explore similar cases demonstrating our expertise in advanced prosthetic dentistry.
Complex Temporary Crowns Restore Patient's Smile in Just One Day with an Immediate Smile Makeover
Her dental implant looked artificial in her mouth and was impacting her smile. She had been very unhappy with her unsightly smile line and was beco...
Complex Multi-Faceted Treatment for Patient Unhappy With Her Artificial-Looking Crowns, Teeth and Gums
Many patients come to Elite Prosthetic Dentistry unhappy with the appearance of their smile. A particular patient who sought our help was very unha...
Standard Treating Kevin’s Collapsed Bite with a Complete Smile Makeover with New Dentures
Kevin came to us very dissatisfied with his existing condition. He looked much older than his age because his bite was collapsed and no one could r...
Related Articles
Deepen your knowledge with additional insights on this topic.
Rejuvenating a Ruined Implant Site Having Severely Damaged Bone
Even after a failed implant and significant bone loss, it is often possible to rebuild the ridge and restore a healthy foundation for a new implant.
If a Single Front Tooth is Replaced with an Implant, can it Look Natural?
A single front tooth implant can look completely natural with precision placement, custom abutments, and hand-crafted porcelain crowns. Washington, DC.
What is Precision Implant Placement (PIP)?
Learn what Precision Implant Placement (PIP) is and how meticulous planning ensures optimal implant positioning for long-lasting results in Washington, DC.