How We Create A Dental Crown That Lasts 35 Years
At Prosthetic Dentistry of Washington, DC, Dr. Gerald Marlin and his precision team have an established reputation for delivering dental crowns that last over 35 years, while the national average is 7-10 years. The fact that insurance companies will pay for a replacement crown after 5 years validates that statistic.
The advent of CAD/CAM (computer-created) crowns that are manufactured by a milling machine assures that such a short average durability time span will not improve in the future. Therefore, each person can expect to have their crowns redone within their life span. There are multiple adverse factors that can affect the milled crown’s fit, including the degree of accuracy “dialed in” by the “computer techie” for the milling. Unfortunately, when crowns fail, decay can occur which can result in a root canal being necessary, or, even worse, the tooth may need to be extracted and replaced with an implant.

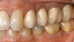
Fig. 1: Hand-Crafted Dental Crown Demonstrating Precision Fabrication
The Secret to Long-Lasting Crowns
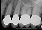
Why is it that our crowns last for such a long time? Attention to detail with the tooth preparation and temporization, taking the clinical or digital impression, and the fabrication in our in-house laboratory are key to obtaining precision results. Our technician hand-crafts each crown and evaluates the precision of the fit. Finally, all crowns are X-rayed to ensure that the anticipated crown fit has been achieved. If not, we simply redo the crown. It must be perfect.
This commitment to precision goes beyond what standard milling machines can achieve. When you partner with Dr. Marlin and our team, you’re investing in craftsmanship that is backed by decades of experience. Each crown is created with the understanding that it will be part of your smile for decades to come, not just a few years.

Fig. 2: Precision Fit Verification of Custom-Crafted Crown
Our In-House Laboratory Advantage
Our in-house lab established over three decades ago gives us a tremendous advantage in quality control. Rather than sending your crown to an external facility and losing the ability to refine it, our laboratory technicians work directly with Dr. Marlin. This collaboration allows for immediate adjustments, custom modifications, and the highest standards of fit. If something isn’t quite right, we catch it before it leaves our office, not after it’s been in your mouth for months.
The precision doesn’t stop with the initial fitting. We use advanced imaging techniques to verify the margins and ensure there are no gaps where decay could develop. This meticulous approach is why our patients enjoy crowns that function beautifully and look natural for decades.

Fig. 3: In-House Laboratory Technician Examining Completed Crown

Fig. 4: Final Long-Lasting Crown Ready for Placement
See How We Resolve These Problems
Our patient success stories show real cases and real results. Browse outcomes from a specialist prosthodontist with decades of experience and 3,900+ implants placed.
Related Articles
Deepen your knowledge with additional insights on this topic.
Dental Crowns Why are Some Temporary Crowns More Natural Than Others?
Temporary crowns fabricated in our in-house laboratory are made to blend with each individual’s lip line, facial pattern, and adjacent teeth in Washington, DC.
Dental Crowns What Makes a Natural-Looking Crown?
A natural-looking crown blends with your gum tissue, matches your smile line, and has proper translucency and coloration. Washington, DC prosthodontist.
Dental Crowns How is an Immediate Smile Makeover Performed?
An immediate smile makeover uses personalized temporary crowns crafted to match your facial pattern and smile line while final restorations are made.