How is the Gummy Smile Fixed?
Dr. Gerald Marlin at Elite Prosthetic Dentistry reshapes gum tissue and fabricates custom crowns to correct gummy smiles, delivering a natural, confident result.
Understanding the Gummy Smile
A gummy smile is a condition where excessive gum tissue is visible when you smile. While the amount of visible gum varies among individuals, most dentists consider a smile gummy when more than 3 to 4 millimeters of gum tissue shows above your teeth when you’re smiling broadly. For some patients, the visibility is even more pronounced, with gum coverage extending well above the natural tooth contour.
The consequences of a gummy smile extend beyond aesthetics. When a smile is primarily gum tissue with relatively little visible tooth structure, it can affect your confidence and your willingness to smile freely. Many patients with gummy smiles report that they’ve learned to smile with their lips closed or to minimize their smile in professional and social situations. This guarded approach to smiling can inadvertently affect how others perceive your confidence and engagement.
When a person presents with a gummy smile, the tissue is carefully reshaped while preserving the healthy pink tissue beneath. This surgical contouring reveals more tooth structure and creates a more balanced smile. Temporary crowns are placed after the gum surgery and are carved in such a manner as to make them appear more natural. Final crowns are then fabricated that replicate the established aesthetics and ensure long-term stability.

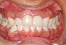
Fig. 1: Gummy Smile with Misshaped Crowns

Fig. 2: Misshaped Crowns with a Gummy Smile

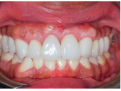
Fig. 3: Excess Gum Reshaped with New Crowns Created

Fig. 4: She Now Smiles Without Being Self-Conscious
A Case Study in Smile Transformation
Ms. S. was very unhappy with her gummy smile, which made her deeply self-conscious about her appearance. Beyond the excessive gum display, she also presented with crowns that were aesthetically problematic. Her crowns appeared distinctly unnatural because they were poorly shaped, particularly her two front crowns, which were very wide and square rather than resembling natural tooth anatomy.
Additionally, since all of her crowns lacked appropriate translucency, they appeared as an opaque white. This opacity created a stark, unnatural contrast with her darker gingiva and complexion, and the teeth did not match her remaining natural dentition. The combination of a gummy smile and poor crown aesthetics created a smile that she understandably wished to change.
The clinical situation was further complicated by the fact that Ms. S. was missing her lateral incisor, a relatively small tooth that should be positioned between the canine and central incisor. Instead of having an implant or other replacement in that position, her left canine, which is naturally much larger than a lateral incisor, was positioned in the lateral incisor location. This anatomical anomaly contributed to the asymmetry and unnatural appearance of her smile.
She also had uneven gum tissue. The gum was too low around some of her front teeth while being disproportionately high on the left side compared to the right side. This unevenness further compromised the aesthetic balance of her smile.
The Treatment Plan and Outcomes
Our comprehensive approach to Ms. S.’s case involved several coordinated components. First, her gingival tissues were surgically evened out and reshaped to create a more balanced gum contour and reveal more tooth structure. Second, orthodontic treatment was completed to realign her teeth properly. Third, an implant was inserted to replace her missing lateral incisor, restoring her natural anatomy and creating proper tooth positioning.
Finally, attractive crowns replaced her existing opaque, poorly shaped ones. The new crowns were fabricated with appropriate translucency to resemble natural teeth, matching her skin tone and remaining natural dentition. The crowns were designed with proper tooth anatomy rather than the wide, square appearance of her previous restorations.
The transformation was remarkable. Ms. S. went from having a smile that made her deeply self-conscious to having “normal” looking teeth that she felt genuinely proud of. She now smiles freely and openly, no longer guarded by self-consciousness about her appearance. The combination of surgical gum recontouring, orthodontic alignment, implant replacement, and high-quality crown fabrication created a comprehensive solution to her complex smile concerns.
Frequently Asked Questions
Is gum surgery painful?
We use local anesthesia and offer sedation options. Most patients feel minimal discomfort, and any soreness subsides within a day or two. Pain management is straightforward and well-controlled with appropriate medication.
How long before I get my final crowns?
Final crowns are typically placed 4 to 6 weeks after surgery to allow for proper gum healing and tissue stabilization. During this healing period, your temporary crowns provide excellent function and aesthetics while your tissues adapt to their new contours.
Will my smile look natural?
Absolutely. Temporary crowns guide healing and establish proper tooth shape, and final crowns are custom-designed to blend seamlessly with your natural teeth. Our in-house laboratory ensures attention to every detail of color, translucency, and form.
Are there any eating or cleaning restrictions?
Avoid very hard or sticky foods for the first week after surgery. Use gentle brushing and flossing techniques around your new crowns. Your hygiene team will provide specific post-treatment care instructions.
See How We Resolve These Problems
Our patient success stories show real cases and real results. Browse outcomes from a specialist prosthodontist with decades of experience and 3,900+ implants placed.
Related Patient Success Stories
Explore similar patient success stories demonstrating our expertise in advanced prosthetic dentistry.
Temporary Crowns Restore Patient's Smile in Just One Day with an Immediate Smile Makeover
A patient from Potomac, Maryland, came to Elite Prosthetic Dentistry with the chief complaint of pain from a failing dental implant and its significant impact on her appearance.
Multi-Faceted Treatment for Patient Unhappy With Her Artificial-Looking Crowns, Teeth and Gums
Many patients come to Elite Prosthetic Dentistry unhappy with the appearance of their smile. However, this particular patient presented with multiple interconnected problems that together created a smile she found deeply unsatisfying.
Treating Kevin’s Collapsed Bite with a Complete Smile Makeover with New Dentures
Dentures are sometimes not created to the ideal aesthetic and functional scheme. When improperly fabricated, dentures can make an individual appear almost a generation older than their actual age. They can have a poor fit that feels loose and unstable when eating or speaking, and they can actually accelerate bone loss over time.
Related Articles
Deepen your knowledge with additional insights on this topic.
Cosmetic Dentistry Can my tetracycline stained teeth be made to look pretty?
Tetracycline and other deep, intrinsic stains are best masked with custom crowns - veneers won’t suffice. Elite Prosthetic Dentistry in Washington, DC.
Cosmetic Dentistry How is the Gummy Smile Fixed?
Dr. Marlin reshapes gum tissue and fabricates custom crowns to correct gummy smiles, creating a balanced and confident smile in Washington, DC.
Discovering Cosmetic Dentistry Beyond Aesthetics
Explore how cosmetic dentistry goes beyond aesthetics to improve oral health, self-confidence, and overall well-being with modern treatments and technology.