When Should an Implant not be Done?
Not every patient is a candidate for implants. In certain cases - healthy roots, fragile bone, or steep bony angles - preserving natural teeth and exploring alternatives leads to better, long-term outcomes.
There are many situations when implants are contraindicated. If these central incisors had been extracted as others recommended, it would have resulted in a crater of lost bone and an irreversible aesthetic disaster with her higher lip line.
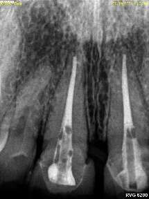
Prior to coming to us, Ms. K was told twice to remove her healthy roots and replace them with implants. In fact, her roots are perfectly sound (Fig. 1) and should have been preserved. Because her bone is at a 45° angle (Fig. 2), too thin (Fig. 3), and has a steep labial slope, any implant would sit proud, risk fracture, and look unnatural - making implants truly the wrong choice here. These are perfectly good roots that were restored with custom posts in the root canals and temporary crowns. After Invisalign treatment to reduce the space between the teeth, she will receive her final crowns.

Fig. 1: Healthy Roots

Fig. 2: At 45 Degrees, Implants Would Be Unrestorable

Fig. 3: Bone Too Thin and Fragile for Support
Frequently Asked Questions
When are implants contraindicated?
When roots are healthy, bone is too thin or steeply angled, or when aesthetics demand preservation, implants should be avoided.
What alternatives exist to implants?
Options include preserving roots with posts, custom crowns, implant-free bridgework, and orthodontic space management.
Will preserving roots last?
With proper endodontic treatment and crown restoration, preserved roots can function reliably for many years.
Related Case Studies
Explore similar cases demonstrating our expertise in advanced prosthetic dentistry.
Complex Temporary Crowns Restore Patient's Smile in Just One Day with an Immediate Smile Makeover
Her dental implant looked artificial in her mouth and was impacting her smile. She had been very unhappy with her unsightly smile line and was beco...
Complex Multi-Faceted Treatment for Patient Unhappy With Her Artificial-Looking Crowns, Teeth and Gums
Many patients come to Elite Prosthetic Dentistry unhappy with the appearance of their smile. A particular patient who sought our help was very unha...
Standard Treating Kevin’s Collapsed Bite with a Complete Smile Makeover with New Dentures
Kevin came to us very dissatisfied with his existing condition. He looked much older than his age because his bite was collapsed and no one could r...
Related Articles
Deepen your knowledge with additional insights on this topic.
Rejuvenating a Ruined Implant Site Having Severely Damaged Bone
Even after a failed implant and significant bone loss, it is often possible to rebuild the ridge and restore a healthy foundation for a new implant.
If a Single Front Tooth is Replaced with an Implant, can it Look Natural?
A single front tooth implant can look completely natural with precision placement, custom abutments, and hand-crafted porcelain crowns. Washington, DC.
What is Precision Implant Placement (PIP)?
Learn what Precision Implant Placement (PIP) is and how meticulous planning ensures optimal implant positioning for long-lasting results in Washington, DC.