What is the ideal Surgical Guide for Precision Implant Placement?
The gold standard uses a CBCT-based surgical guide: virtual implant planning on a CT scan ensures the implant is positioned in the optimal bone and prosthetic envelope.
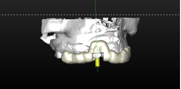
Using specialized implant planning software, we virtually place the implant on a CBCT scan to align it perfectly within the anticipated crown and surrounding bone (Fig. 1). From this plan, a custom surgical guide is fabricated to dictate precise drill angulation and depth (Fig. 2). Finally, the guide seats on the patient’s teeth during surgery to ensure exact implant placement (Fig. 3).

Fig. 1: Implant Virtually Placed on the CT so the Abutment Will Be Inside the Crown

Fig. 2: The Surgical Guide Dictating Implant Insertion

Fig. 3: The Surgical Guide Seated on the Teeth to Guide the Implant Drills
Frequently Asked Questions
Why use a CBCT-based guide?
It ensures implants are placed in the best bony areas and prosthetic envelope, reducing complications.
How is the guide made?
After virtual planning on a CBCT scan, the guide is 3D printed to exact specifications.
Can the guide fit any patient?
Guides are custom-fabricated to fit each patient’s dental anatomy for stable seating.
Does it increase surgery time?
No - guided surgery is often faster and more predictable than freehand placement.
Related Case Studies
Explore similar cases demonstrating our expertise in advanced prosthetic dentistry.
Complex Temporary Crowns Restore Patient's Smile in Just One Day with an Immediate Smile Makeover
Her dental implant looked artificial in her mouth and was impacting her smile. She had been very unhappy with her unsightly smile line and was beco...
Complex Multi-Faceted Treatment for Patient Unhappy With Her Artificial-Looking Crowns, Teeth and Gums
Many patients come to Elite Prosthetic Dentistry unhappy with the appearance of their smile. A particular patient who sought our help was very unha...
Standard Treating Kevin’s Collapsed Bite with a Complete Smile Makeover with New Dentures
Kevin came to us very dissatisfied with his existing condition. He looked much older than his age because his bite was collapsed and no one could r...
Related Articles
Deepen your knowledge with additional insights on this topic.
Rejuvenating a Ruined Implant Site Having Severely Damaged Bone
Even after a failed implant and significant bone loss, it is often possible to rebuild the ridge and restore a healthy foundation for a new implant.
If a Single Front Tooth is Replaced with an Implant, can it Look Natural?
A single front tooth implant can look completely natural with precision placement, custom abutments, and hand-crafted porcelain crowns. Washington, DC.
What is Precision Implant Placement (PIP)?
Learn what Precision Implant Placement (PIP) is and how meticulous planning ensures optimal implant positioning for long-lasting results in Washington, DC.