What is Staged Implant Therapy?
Many patients prefer a fixed, full-arch solution without a denture or All-on-X. Staged implant therapy uses your existing teeth to support temporary crowns, then replaces teeth with implants in phases - always keeping you fully dentate.
When all of a patient’s teeth are failing but dentures aren’t an option, we perform “staged therapy.” First, every tooth is prepared and fitted with a full-arch temporary splint (Fig. 1). Next, select teeth are extracted and replaced with implants, while the remaining teeth continue to hold the temporary (Fig. 2 & 3). In Stage II, abutments are seated on existing implants, the remaining teeth are extracted, and implants placed (Fig. 4). Finally, a permanent fixed splint is secured on all implants (Figs. 5 & 6).

Fig. 1: Failing Teeth Briefly Used to Hold a Temporary Splint

Fig. 2: Stage Ia Temporary Splint Providing Aesthetics and Function

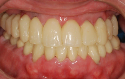
Fig. 3: Stage Ib Three Teeth Extracted and Replaced with Implants

Fig. 4: Stage II Abutments Seated in Implants to Hold the Temporary, Remaining Teeth Extracted and Replaced

Fig. 5: Stage III All Implants Restored with a Permanently Fixed Final Splint

Fig. 6: Final Splint in Place Over Full Arch Implants
Patient’s Story
When Mrs. C came for her evaluation and consultation, all of her upper teeth were decaying and in danger of breaking. At that time, she stated that, under no circumstances, did she want to wear a denture or have an All-on-X procedure. She wanted the security of a fixed appliance. With that in mind, we proposed and carried out her upper reconstruction as “staged therapy.”
Stage I: Clean up the decay on all of her remaining upper teeth, prepare them (Fig. 1) and insert an aesthetic temporary splint (Fig. 2). This was followed by the strategic extraction of several teeth, replacing them with implants, while the remaining teeth held the temporary bridge (Fig. 3).
Stage II: Previously inserted implants have abutments inserted and connected to the temporary splint (Fig. 4). The remaining teeth are then extracted with implants replacing them.
Stage III: The remaining implants are restored with additional implant abutments and the final crowns (Figs. 5 & 6).
Frequently Asked Questions
What is staged implant therapy?
A phased approach where temporary crowns support function while teeth are replaced by implants in stages, avoiding dentures.
Will I have teeth at all times?
Yes. Temporary splints remain in place on existing teeth and implants until the final fixed splint is seated.
Is this more expensive than All-on-X?
Costs vary, but staged therapy can be comparable and avoids removable dentures, offering more security.
How long does the process take?
Typically 3-4 months, depending on healing, imaging, and fabrication timelines.
Related Case Studies
Explore similar cases demonstrating our expertise in advanced prosthetic dentistry.
Complex Temporary Crowns Restore Patient's Smile in Just One Day with an Immediate Smile Makeover
Her dental implant looked artificial in her mouth and was impacting her smile. She had been very unhappy with her unsightly smile line and was beco...
Complex Multi-Faceted Treatment for Patient Unhappy With Her Artificial-Looking Crowns, Teeth and Gums
Many patients come to Elite Prosthetic Dentistry unhappy with the appearance of their smile. A particular patient who sought our help was very unha...
Standard Treating Kevin’s Collapsed Bite with a Complete Smile Makeover with New Dentures
Kevin came to us very dissatisfied with his existing condition. He looked much older than his age because his bite was collapsed and no one could r...
Related Articles
Deepen your knowledge with additional insights on this topic.
Rejuvenating a Ruined Implant Site Having Severely Damaged Bone
Even after a failed implant and significant bone loss, it is often possible to rebuild the ridge and restore a healthy foundation for a new implant.
If a Single Front Tooth is Replaced with an Implant, can it Look Natural?
A single front tooth implant can look completely natural with precision placement, custom abutments, and hand-crafted porcelain crowns. Washington, DC.
What is Precision Implant Placement (PIP)?
Learn what Precision Implant Placement (PIP) is and how meticulous planning ensures optimal implant positioning for long-lasting results in Washington, DC.