What is Precision Implant Placement (PIP)?
Precision Implant Placement involves extensive CBCT-based planning and guided surgery to ensure implants are positioned for optimal bony support and ideal aesthetics.
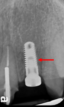
Precision Implant Placement always begins with meticulous planning using CBCT scans and dedicated implant‐planning software (Figs. 1-3). First, we virtually “insert” the implant on the CT scan so it centers beneath the future crown (Fig. 1). Then we design and fabricate a surgical guide (Fig. 2) to transfer that plan directly to the patient’s mouth. Finally, the guide seats on the patient’s teeth during surgery to ensure exact implant placement (Fig. 3), achieving both optimal bone support and prosthetic alignment.

Fig. 1: Virtual Implant Placement on the CT Scan Under the Temporary Crown

Fig. 2: Design of the Custom Surgical Guide from the Virtual Plan

Fig. 3: Surgical Guide Seated on the Teeth to Guide Implant Drills
Frequently Asked Questions
Why is virtual planning important?
Virtual planning ensures the implant is placed in the best bone and prosthetic location, improving function and aesthetics.
How accurate are surgical guides?
CBCT-based guides routinely achieve sub-millimeter accuracy in implant positioning.
Can all implants use a guide?
Most cases benefit from guided surgery; we customize guides based on anatomical needs and available restorative space.
Does guided surgery increase procedure time?
No - preparation time upfront reduces surgery time and improves predictability.
Related Case Studies
Explore similar cases demonstrating our expertise in advanced prosthetic dentistry.
Complex Temporary Crowns Restore Patient's Smile in Just One Day with an Immediate Smile Makeover
Her dental implant looked artificial in her mouth and was impacting her smile. She had been very unhappy with her unsightly smile line and was beco...
Complex Multi-Faceted Treatment for Patient Unhappy With Her Artificial-Looking Crowns, Teeth and Gums
Many patients come to Elite Prosthetic Dentistry unhappy with the appearance of their smile. A particular patient who sought our help was very unha...
Standard Treating Kevin’s Collapsed Bite with a Complete Smile Makeover with New Dentures
Kevin came to us very dissatisfied with his existing condition. He looked much older than his age because his bite was collapsed and no one could r...
Related Articles
Deepen your knowledge with additional insights on this topic.
Rejuvenating a Ruined Implant Site Having Severely Damaged Bone
Even after a failed implant and significant bone loss, it is often possible to rebuild the ridge and restore a healthy foundation for a new implant.
If a Single Front Tooth is Replaced with an Implant, can it Look Natural?
A single front tooth implant can look completely natural with precision placement, custom abutments, and hand-crafted porcelain crowns. Washington, DC.
What is Precision Implant Placement (PIP)?
Learn what Precision Implant Placement (PIP) is and how meticulous planning ensures optimal implant positioning for long-lasting results in Washington, DC.