What is a Partial (Internal) Sinus Lift?
The partial (internal) sinus lift is a conservative technique used when there’s limited bone beneath the sinus at a specific implant site. It gently raises the sinus membrane only at that spot, allowing bone graft material to be placed before implant insertion.
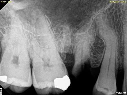
When preparing an implant osteotomy without enough room under the sinus, a special drill (osteotome) is used to elevate the sinus membrane slightly (Fig. 1). Bone graft material is then inserted under that lifted membrane to create a stable foundation (Fig. 2). Once grafted, the implant is placed immediately into the newly created bone space (Fig. 3), often at the time of extraction if primary stability can be achieved.

Fig. 1: Broken Tooth

Fig. 2: Tooth Extracted, Bone Graft Placed

Fig. 3: Sinus Lifted with Bone Graft, Implant Inserted
Frequently Asked Questions
When is an internal sinus lift indicated?
When there’s insufficient bone at a single implant site, and a full lift isn’t necessary.
Can grafting and implant placement be combined?
Yes - if the implant achieves at least half its threads in stable bone, we’ll graft and place simultaneously.
How long before the implant heals?
Healing typically takes 4-6 months, depending on bone quality and graft integration.
Is the procedure painful?
Local anesthesia is used; most patients report minimal discomfort and quick recovery.
Related Case Studies
Explore similar cases demonstrating our expertise in advanced prosthetic dentistry.
Complex Temporary Crowns Restore Patient's Smile in Just One Day with an Immediate Smile Makeover
Her dental implant looked artificial in her mouth and was impacting her smile. She had been very unhappy with her unsightly smile line and was beco...
Complex Multi-Faceted Treatment for Patient Unhappy With Her Artificial-Looking Crowns, Teeth and Gums
Many patients come to Elite Prosthetic Dentistry unhappy with the appearance of their smile. A particular patient who sought our help was very unha...
Standard Treating Kevin’s Collapsed Bite with a Complete Smile Makeover with New Dentures
Kevin came to us very dissatisfied with his existing condition. He looked much older than his age because his bite was collapsed and no one could r...
Related Articles
Deepen your knowledge with additional insights on this topic.
Rejuvenating a Ruined Implant Site Having Severely Damaged Bone
Even after a failed implant and significant bone loss, it is often possible to rebuild the ridge and restore a healthy foundation for a new implant.
If a Single Front Tooth is Replaced with an Implant, can it Look Natural?
A single front tooth implant can look completely natural with precision placement, custom abutments, and hand-crafted porcelain crowns. Washington, DC.
What is Precision Implant Placement (PIP)?
Learn what Precision Implant Placement (PIP) is and how meticulous planning ensures optimal implant positioning for long-lasting results in Washington, DC.