What is a Full or External Sinus Lift?
An external sinus lift involves raising the sinus membrane from the cheek side and adding bone graft material to create sufficient ridge height for implants.
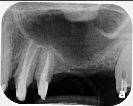
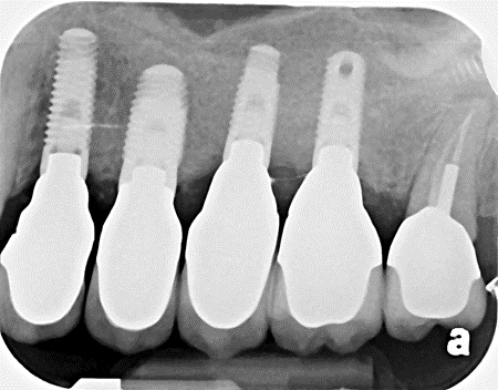
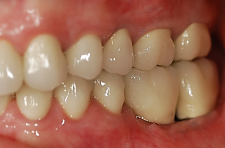
When there’s no available bone beneath the sinus floor (Fig. 1), we perform a full (external) sinus lift. We elevate the Schneiderian membrane and pack in bone graft material (Fig. 2). After 6-9 months, the new bone allows implant placement (Fig. 3). Four months later, those implants are restored with abutments and crowns (Fig. 4).

Fig. 1: No Bone Available to Receive Any Implant

Fig. 2: Bone Filled-In Below Sinus Membrane Using a Full (External) Sinus Lift Process

Fig. 3: Implants with Final Abutments and Crowns in New Bone

Fig. 4: Final Abutments and Crowns Seated on Implants
Frequently Asked Questions
How long does a sinus lift take to heal?
Bone maturation typically takes 6-9 months before implants can be placed.
Is sinus lift surgery painful?
We use local anesthesia (and sedation if desired); most patients report minimal discomfort.
Can I have implants immediately after lifting?
In cases with sufficient primary stability, we may place implants simultaneously; otherwise, we stage them after graft healing.
Are there any eating restrictions?
Soft foods are recommended for the first week; then you can gradually resume a normal diet.
Related Case Studies
Explore similar cases demonstrating our expertise in advanced prosthetic dentistry.
Complex Temporary Crowns Restore Patient's Smile in Just One Day with an Immediate Smile Makeover
Her dental implant looked artificial in her mouth and was impacting her smile. She had been very unhappy with her unsightly smile line and was beco...
Complex Multi-Faceted Treatment for Patient Unhappy With Her Artificial-Looking Crowns, Teeth and Gums
Many patients come to Elite Prosthetic Dentistry unhappy with the appearance of their smile. A particular patient who sought our help was very unha...
Standard Treating Kevin’s Collapsed Bite with a Complete Smile Makeover with New Dentures
Kevin came to us very dissatisfied with his existing condition. He looked much older than his age because his bite was collapsed and no one could r...
Related Articles
Deepen your knowledge with additional insights on this topic.
Rejuvenating a Ruined Implant Site Having Severely Damaged Bone
Even after a failed implant and significant bone loss, it is often possible to rebuild the ridge and restore a healthy foundation for a new implant.
If a Single Front Tooth is Replaced with an Implant, can it Look Natural?
A single front tooth implant can look completely natural with precision placement, custom abutments, and hand-crafted porcelain crowns. Washington, DC.
What is Precision Implant Placement (PIP)?
Learn what Precision Implant Placement (PIP) is and how meticulous planning ensures optimal implant positioning for long-lasting results in Washington, DC.