The Single Anterior Crown
Treatment(s)
Challenge
One of the most aesthetically challenging restorative situations is the replacement or restoration of a single anterior tooth. When a patient has a natural tooth on one side and a restoration on the other, achieving visual symmetry requires extraordinary attention to detail.
Complexity Level
Outcome
Custom porcelain veneers delivering a natural, vibrant smile transformation

Creating Symmetry: The Challenge of Single Tooth Aesthetics

One of the most aesthetically challenging restorative situations is the replacement or restoration of a single anterior tooth. When a patient has a natural tooth on one side and a restoration on the other, achieving visual symmetry requires extraordinary attention to detail. The restoration must match not just the color and basic shape of the natural tooth, but also the subtle contours, translucency characteristics, and light reflection properties that make teeth appear natural and alive.
The Challenge: Asymmetry and Tissue Inflammation
This patient presented with a situation common in cosmetic dentistry: she had a veneer on her upper right central incisor whose shape, size, and proportions did not match her upper left central incisor. The veneer was noticeably different in shape, appearing more square and artificial when compared to the natural, slightly tapered appearance of her adjacent tooth.
The problems extended beyond aesthetics. The veneer had been fabricated with bulky contours that were not biocompatible with her gingival tissue. The excessive thickness and poor emergence angle was mechanically irritating her gums, causing visible inflammation and tissue swelling around the restoration. This tissue damage not only looked unhealthy but also created discomfort for the patient.
Additionally, the veneer was the wrong color. It appeared too opaque and lacked the natural translucency that characterized her adjacent natural tooth, creating an obvious visual mismatch when she smiled.
Treatment Approach
Dr. Gerald Marlin recommended replacing the problematic veneer with an all-ceramic porcelain crown. While a crown requires slightly more tooth preparation than a veneer, it provides superior control over the final restoration characteristics and allows for biocompatible contours that support healthy gum tissue.
The treatment plan included an important additional step. Before fabricating the new crown, the patient’s other teeth were professionally whitened with a professional teeth whitening treatment to ensure the new restoration would match her brightened smile. This ensured that the new crown could be fabricated in a shade that would match her newly brightened teeth, preventing the mismatch that might occur if the crown were made to match her original, slightly yellowed tooth shade.
Our in-house laboratory designed the new crown with meticulous attention to several critical characteristics. The crown was fabricated to match the natural, slightly tapered shape of her adjacent central incisor, creating perfect symmetry when she smiled. The contours were engineered to emerge smoothly from beneath the gum line, with emergence angles and surface anatomy that would be biocompatible with and supportive of healthy gingival tissue.
The crown was fabricated with optimal translucency, internal color grading, and subtle surface texture characteristics that would make it virtually indistinguishable from her natural adjacent tooth. The prosthodontic team worked directly with Dr. Marlin at the chair to ensure perfect integration of the new restoration.
Results
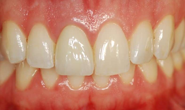
The patient’s smile transformation exceeded her expectations. The new crown perfectly matches the shape, size, and color of her adjacent natural tooth, creating complete visual symmetry in her smile. Perhaps most importantly, the biocompatible contours of the crown have allowed her gingival tissue to become healthy and pink, resolving the inflammation that had been present with her previous veneer.
The patient is thrilled not only with the aesthetic result but also with the health and comfort of her smile. She can smile confidently, knowing that her restoration appears completely natural and that her gum tissue is healthy and well-supported.

Single Tooth Aesthetics Require Specialized Attention
Replacing a single anterior tooth is one of the most aesthetically sensitive procedures in dentistry. Every dimension, from shade and translucency to shape and contour, must be controlled with precision. The success of the restoration depends on the provider’s understanding of natural tooth aesthetics and commitment to achieving perfection.
If you have a single anterior tooth that needs restoration or replacement, or if an existing restoration doesn’t match your adjacent natural teeth, consult with a prosthodontist who specializes in anterior aesthetic restoration. Contact Elite Prosthetic Dentistry to schedule your consultation with Dr. Marlin.
Related Patient Success Stories
Explore similar patient success stories demonstrating our expertise in advanced prosthetic dentistry.
Temporary Crowns Restore Patient's Smile in Just One Day with an Immediate Smile Makeover
A patient from Potomac, Maryland, came to Elite Prosthetic Dentistry with the chief complaint of pain from a failing dental implant and its significant impact on her appearance.
Multi-Faceted Treatment for Patient Unhappy With Her Artificial-Looking Crowns, Teeth and Gums
Many patients come to Elite Prosthetic Dentistry unhappy with the appearance of their smile. However, this particular patient presented with multiple interconnected problems that together created a smile she found deeply unsatisfying.
Treating Kevin’s Collapsed Bite with a Complete Smile Makeover with New Dentures
Dentures are sometimes not created to the ideal aesthetic and functional scheme. When improperly fabricated, dentures can make an individual appear almost a generation older than their actual age. They can have a poor fit that feels loose and unstable when eating or speaking, and they can actually accelerate bone loss over time.