Dental Implant Supported Makeover with Crowns
Treatment(s)
Challenge
This patient faced a constellation of dental issues that individually would require different treatment approaches. He had a fractured root on one tooth, requiring extraction and replacement. He had extensive decay hidden beneath existing crowns that were failing and unsalvageable.
Complexity Level
Outcome
Precisely placed dental implants with custom-crafted restorations for restored function and aesthetics

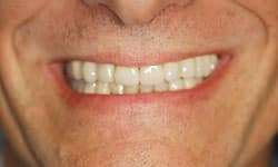
Comprehensive Smile Makeover Through Strategic Implant and Crown Restoration

When a patient presents with multiple dental problems requiring different treatment approaches, the real challenge lies in developing a unified, comprehensive treatment plan that addresses all issues while delivering an esthetically cohesive result. This case demonstrates how combining dental implants with custom-crafted crowns can solve complex, multi-faceted dental problems and create a completely transformed, confident smile.
The Challenge: Multiple Overlapping Dental Problems
This patient faced a constellation of dental issues that individually would require different treatment approaches. He had a fractured root on one tooth, requiring extraction and replacement. He had extensive decay hidden beneath existing crowns that were failing and unsalvageable. He had missing teeth from years past where tooth loss had created functional and esthetic deficits. He had failing root canals that had lost their effectiveness. Beyond all this, he had a desire to avoid a removable denture or implant-supported denture (overdenture) and maintain a fixed restoration.
The challenge was not treating any single issue, but rather developing a unified, strategic plan that would address all problems simultaneously, replace the failing dentition, and create an esthetically beautiful, functionally superior result.
Treatment Approach: Strategic Implant Placement and Crown Restoration
Dr. Gerald Marlin evaluated the entire dentition and developed a comprehensive treatment plan combining dental implants with custom-crafted crowns on both natural teeth and implants.
Nine dental implants were strategically placed to replace the missing teeth and provide support for the fractured and failing teeth. The placement was carefully planned to optimize force distribution, esthetics, and long-term stability throughout the restored mouth.
Custom-crafted crowns were then fabricated to restore both the teeth supported by implants and the remaining natural teeth that were retained in the restoration. Our in-house laboratory designed and fabricated each crown with meticulous attention to:
Creating natural, youthful proportions that would enhance the patient’s facial esthetics.
Developing optimal color, translucency, and internal shading for a vibrant, natural appearance.
Engineering biocompatible contours that would support healthy gingival tissue.
Providing optimal functional surfaces for efficient chewing.
The entire restoration was permanently cemented, providing the patient with complete security, stability, and function without any removable components.
Results
The patient achieved a complete smile transformation. His failing, compromised dentition was replaced with a beautiful, functional, fixed restoration that provides the confidence and function of natural teeth. The multiple dental problems that had been plaguing him for years were all addressed comprehensively in a single, unified treatment approach.
Most significantly, the patient was able to maintain a youthful appearance and vibrant smile. He regained the confidence to smile freely in social and professional situations. The result was transformative, not just dentally, but psychologically. As one patient mentioned, sometimes people hide their teeth with a mustache, but this patient no longer needed to hide anything.
He was so confident in his restored smile that he was thrilled to share it with family and friends at important life events, including his son’s wedding. His restored smile became a source of pride and confidence.
When Multiple Dental Problems Require Strategic Solutions
If you have a constellation of dental problems including missing teeth, failing crowns, fractured teeth, or other complex issues, seek consultation with a specialist who can develop a comprehensive, unified treatment plan. Dr. Gerald Marlin specializes in complex cases involving multiple treatment modalities.
Contact Elite Prosthetic Dentistry today to schedule your consultation. We can help you transform your compromised smile into something beautiful and functional that will restore your confidence for life.
Related Services
Related Patient Success Stories
Explore similar patient success stories demonstrating our expertise in advanced prosthetic dentistry.
Temporary Crowns Restore Patient's Smile in Just One Day with an Immediate Smile Makeover
A patient from Potomac, Maryland, came to Elite Prosthetic Dentistry with the chief complaint of pain from a failing dental implant and its significant impact on her appearance.
Multi-Faceted Treatment for Patient Unhappy With Her Artificial-Looking Crowns, Teeth and Gums
Many patients come to Elite Prosthetic Dentistry unhappy with the appearance of their smile. However, this particular patient presented with multiple interconnected problems that together created a smile she found deeply unsatisfying.
Treating Kevin’s Collapsed Bite with a Complete Smile Makeover with New Dentures
Dentures are sometimes not created to the ideal aesthetic and functional scheme. When improperly fabricated, dentures can make an individual appear almost a generation older than their actual age. They can have a poor fit that feels loose and unstable when eating or speaking, and they can actually accelerate bone loss over time.