Dental Implant Rejuvenation of the Jaw
Treatment(s)
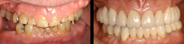
Challenge
This patient had experienced progressive dental decline over many years. Multiple teeth had been lost to decay, trauma, or extraction. Additionally, many of his remaining teeth had been severely abraded and worn from years of wear, grinding, or trauma.
Complexity Level
Outcome
Precisely placed dental implants with custom-crafted restorations for restored function and aesthetics
Complete Mouth Rejuvenation Through Strategic Implant Placement and Restoration

Over the years, the cumulative effects of tooth loss, wear, and damage can profoundly age the appearance of the face and the smile. A patient who has lost multiple teeth while severely wearing down others may experience progressive facial changes, reduced vertical dimension, and an aged appearance. However, modern dental implant therapy combined with comprehensive prosthodontic reconstruction can literally rejuvenate the jaw and restore a more youthful, confident smile.
The Challenge: Years of Progressive Dental Breakdown
This patient had experienced progressive dental decline over many years. Multiple teeth had been lost to decay, trauma, or extraction. Additionally, many of his remaining teeth had been severely abraded and worn from years of wear, grinding, or trauma. The combination of missing and severely worn teeth was aging his appearance and compromising his function.
The challenge in this case was to develop a comprehensive treatment plan that would address all areas of dental compromise. Rather than simply replacing individual missing teeth, the goal was complete mouth rejuvenation that would restore his appearance, function, and confidence.
Treatment Approach: Strategic Implant Placement and Restoration
Dr. Gerald Marlin evaluated the patient’s remaining dentition and developed a comprehensive plan combining dental implant placement with custom-crafted crown restoration on both natural teeth and implants.
Dental implants were strategically placed to replace the missing teeth, serving as permanent artificial tooth roots. The placement was carefully planned to provide optimal support, spacing, and functional distribution of forces throughout the restored mouth.
Custom-crafted crowns were then fabricated to restore all of the severely worn and compromised teeth in the mouth. Each crown was designed to provide optimal function while enhancing the patient’s appearance. The crowns were engineered with:
Optimal vertical dimension to restore the patient’s facial proportions and create a more youthful appearance.
Natural color and translucency to create a vibrant, youthful smile.
Proper contours to support healthy gum tissue throughout the restored mouth.
Anatomically optimized surfaces for efficient chewing function.
Results
The transformation was remarkable. The patient was rejuvenated with a completely functioning mouth as if he never lost any teeth. His appearance was years younger due to the restoration of his vertical dimension and the rejuvenation of his smile. The confidence that comes from a fully functional, beautiful smile was profoundly transformative.
More than just his teeth were restored. His ability to eat normally, speak clearly, and smile confidently in social and professional situations was restored. The complete mouth reconstruction provided not just dental improvement, but significant improvement in his overall quality of life.
Comprehensive Dental Restoration for Complete Rejuvenation
If you have experienced progressive tooth loss and wear, do not accept dental compromise as inevitable. Modern dental implant therapy combined with comprehensive prosthodontic reconstruction can provide complete mouth rejuvenation. Contact Elite Prosthetic Dentistry to consult with Dr. Gerald Marlin about how we can restore your smile and rejuvenate your appearance. Your transformation awaits.
Related Services
Related Patient Success Stories
Explore similar patient success stories demonstrating our expertise in advanced prosthetic dentistry.
Temporary Crowns Restore Patient's Smile in Just One Day with an Immediate Smile Makeover
A patient from Potomac, Maryland, came to Elite Prosthetic Dentistry with the chief complaint of pain from a failing dental implant and its significant impact on her appearance.
Multi-Faceted Treatment for Patient Unhappy With Her Artificial-Looking Crowns, Teeth and Gums
Many patients come to Elite Prosthetic Dentistry unhappy with the appearance of their smile. However, this particular patient presented with multiple interconnected problems that together created a smile she found deeply unsatisfying.
Treating Kevin’s Collapsed Bite with a Complete Smile Makeover with New Dentures
Dentures are sometimes not created to the ideal aesthetic and functional scheme. When improperly fabricated, dentures can make an individual appear almost a generation older than their actual age. They can have a poor fit that feels loose and unstable when eating or speaking, and they can actually accelerate bone loss over time.