Will Shifting Teeth Needing Splinting Look Individual? | Dr. Gerald Marlin
Stabilizing Shifting Teeth with Splinted Crowns: Achieving Natural Appearance and Function
Case study by Dr. Gerald Marlin at Elite Prosthetic Dentistry in Friendship Heights, DC
Many patients come to us because their teeth are shifting and becoming unstable due to tongue thrust habits, sleep apnea devices, severe grinding, or other forces that push against their dentition. These forces can cause their teeth to move out of alignment, creating functional problems and aesthetic concerns. When patients learn that their treatment will involve splinting their front teeth together with crowns, they frequently express a valid concern: will the teeth look natural, or will they appear obviously connected?
This is an excellent question that deserves a thorough answer. The short answer is: yes, splinted teeth can look completely natural. With careful prosthodontic planning and expert crown design, splinted crowns maintain individual character while providing the necessary stability to prevent further shifting. Let me explain through a clinical case.
Understanding Tooth Splinting
Tooth splinting is a well-established prosthodontic technique where two or more teeth are connected together with a rigid restoration, typically multiple crowns that are fused together at the base or along their contact surfaces. The splinting prevents individual tooth movement while maintaining normal functional forces.
Splinting is indicated when teeth are unstable due to:
- Tongue thrust, a habit where the tongue pushes forcefully against the teeth, particularly the front teeth. Strong tongue thrust can gradually push teeth forward, opening the bite and creating malocclusion.
- Sleep apnea devices like mandibular advancement devices that apply constant forward pressure on the lower front teeth.
- Severe grinding or clenching (bruxism) that destabilizes teeth, particularly when combined with periodontal disease.
- Traumatic injury that damages the periodontal support structure.
- Advanced periodontal disease where bone loss has compromised individual tooth stability.
In these situations, individual teeth cannot maintain their position against the forces acting upon them. Splinting stabilizes the entire group, distributing forces across multiple teeth and allowing the periodontal structures to heal and stabilize.
The Case: Ms. B.’s Shifting Bite
Ms. B. presented with significant concern about her changing bite. She had noticed her upper front teeth progressively moving forward and her bite becoming increasingly open. She described the sensation that her bite was “shifting” with each passing month. Her dentist recognized the signs of tongue thrust and recommended orthodontic correction followed by splinting to prevent recurrence.
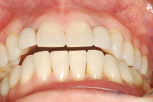
Initial Assessment (Figs. 1, 2)

Fig. 1: Strong Tongue Thrust Causing Crowned Teeth to Flare

Fig. 2: Front Teeth Unstable and Shifting Out of Alignment
The initial photographs showed classic signs of tongue thrust causing anterior flaring. Her upper front teeth were tipped facially (toward the front), her bite was opening, and her occlusal plane was becoming canted. The force driving this was consistent anterior tongue thrust during function and sleep. Without intervention, this would have progressively worsened.
Orthodontic Correction
The first phase of treatment involved orthodontic correction to pull the teeth back into proper alignment and close the anterior bite opening. An orthodontist worked to position the teeth in optimal alignment, correcting the flaring and re-establishing a proper overbite and overjet. This phase typically takes several months and requires patient compliance with the orthodontic appliance.
Temporary Stabilization
Following orthodontic completion, temporary splinted crowns were placed to stabilize the teeth while the periodontal tissues underwent healing and remodeling. This temporary phase allowed Dr. Marlin to verify that the corrected position was stable and that the patient could tolerate the splinted restoration.
The Final Restoration: Natural-Looking Splinted Crowns
The permanent splinted crowns were then designed and fabricated. This is where the art and science of prosthodontics becomes critical. A skilled prosthodontist can create crowns that are connected at the base or internally, maintaining the appearance of individual teeth while providing the rigid connection needed for stability.
Design Principles for Natural Appearance
The key to maintaining natural appearance in splinted crowns involves several design considerations:
- Individual contours for each tooth. Even though the crowns are connected, each crown is contoured to replicate the natural anatomy of that specific tooth, with appropriate ridges, developmental grooves, and surface characteristics.
- Varied shade and translucency. Rather than creating crowns with identical appearance, the prosthodontist varies the shade, texture, and light transmission to create a natural-looking gradation across the splinted group.
- Appropriate morphology for each tooth. The central incisors should appear as central incisors, the lateral incisors as laterals, with appropriate size relationships and contours for each tooth.
- Proper contact areas and embrasures. The spaces between the teeth (embrasures) and the points of contact between adjacent teeth are carefully designed to mimic natural anatomy.
- Natural incisal surfaces. The biting edges are contoured with appropriate thickness, curvature, and slight irregularities that give the appearance of natural wear rather than artificial uniformity.
Advanced Materials and Techniques
Modern prosthodontic materials make natural-looking splinted crowns possible in ways that weren’t possible with older ceramic technologies. Zirconia crowns with ceramic veneering, pressed ceramics, and newer lithium disilicate materials allow for precise shade matching, proper translucency, and excellent aesthetic control.
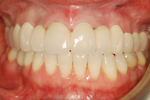
The Result (Figs. 3, 4)

Fig. 3: New Splinted Crowns Holding Teeth in Place

Fig. 4: Radiant Smile with Permanent Splinted Crowns
The photographs show the transformation from unstable, flaring teeth to a stable, aligned, and naturally appearing smile. The teeth are connected where they need to be for stability, but to the casual observer, they appear as individual teeth. The connection is not visible. The smile is radiant and natural.
Ms. B. was able to maintain her corrected bite position without worrying that tongue thrust would re-flare her teeth. The splinted crowns served their functional purpose while maintaining the natural aesthetic that was so important to her.
Why This Matters: Stability Plus Aesthetics
One of the common misconceptions patients have about splinting is that teeth have to look “connected” or artificial. This simply isn’t true. A skilled prosthodontist can create splinted crowns that are functionally rigidly connected while appearing completely natural to any observer, including dental professionals.
The functional benefit of splinting (stability, prevention of further movement, resistance to tongue thrust and bruxism forces) is combined with the aesthetic benefit of crowns that look like natural teeth. This is the hallmark of excellent prosthodontic treatment.
When Splinting Is the Right Choice
If you have teeth that are shifting, becoming loose, or unstable, don’t delay seeking evaluation. The longer you wait, the more damage occurs, and the more complex the treatment becomes. Early intervention with orthodontics followed by splinting can completely resolve the problem and prevent serious complications.
If your general dentist has recommended splinting but you’re concerned about aesthetics, request a consultation with a prosthodontist. We can show you examples of our work, discuss design options, and assure you that stable, natural-looking teeth are entirely achievable.
If you have teeth that are shifting or becoming unstable, schedule a consultation with Dr. Marlin to explore your options for achieving a stable, natural-looking smile.
Related Case Studies
Explore similar cases demonstrating our expertise in advanced prosthetic dentistry.
Complex Temporary Crowns Restore Patient's Smile in Just One Day with an Immediate Smile Makeover
Her dental implant looked artificial in her mouth and was impacting her smile. She had been very unhappy with her unsightly smile line and was beco...
Complex Multi-Faceted Treatment for Patient Unhappy With Her Artificial-Looking Crowns, Teeth and Gums
Many patients come to Elite Prosthetic Dentistry unhappy with the appearance of their smile. A particular patient who sought our help was very unha...
Standard Treating Kevin’s Collapsed Bite with a Complete Smile Makeover with New Dentures
Kevin came to us very dissatisfied with his existing condition. He looked much older than his age because his bite was collapsed and no one could r...
Related Articles
Deepen your knowledge with additional insights on this topic.
How is the Gummy Smile Fixed?
Dr. Marlin reshapes gum tissue and fabricates custom crowns to correct gummy smiles, creating a balanced and confident smile in Washington, DC.
Will Shifting Teeth Needing Splinting Look Individual? | Dr. Gerald Marlin
Splinted crowns stabilize shifting teeth while maintaining the appearance of individual natural teeth. Case study from Washington, DC prosthodontist.
Did Zoom Meetings Make You Unhappy with Your Smile?
Video calls made many people more aware of their smile. Explore cosmetic dentistry options to transform your confidence in Washington, DC.