What Makes a Natural-Looking Crown?
A crown looks natural when it blends and is biocompatible with the gum tissue, which then appears pink. If it does not have the right “emergence profile,” the tissue will be swollen and red. When correctly fabricated, the crown matches the patient’s smile line and facial pattern while having proper translucency and internal coloration. In our office we hand-craft all crowns in the anterior “esthetic zone.”
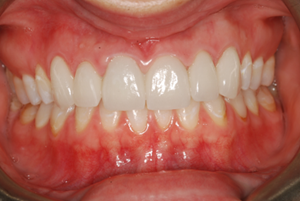
Ms. J was unhappy with her smile line. Her severely discolored teeth drew focus away from her eyes and cheek bones (Fig. 1). Her very thin gum tissue presented a challenge: without a delicate, matching crown design (Fig. 2), the tissue would appear inflamed. After treatment, her new crowns blend perfectly with her natural smile.

Fig. 1: Severely Mottled Smile Line

Fig. 2: Very Thin Tissue Requiring Delicate Custom Crowns

Fig. 3: Crowns Blend with the Thin Gum Tissue

Fig. 4: New Smile Line

Fig. 5: Teeth Blend with Facial Pattern Rather Than Dominating It
Frequently Asked Questions
What is an emergence profile?
The emergence profile is how the crown meets the gum tissue. A correct profile ensures healthy, pink gum appearance.
How long do natural-looking crowns last?
With proper care, well-fabricated crowns can last 10-15 years or more.
Will my gums stay healthy?
Hand-crafted crowns with precise margins support gum health and prevent inflammation.
Can crowns be adjusted if needed?
Minor adjustments for fit or contour can be made during follow-up visits.
Related Case Studies
Explore similar cases demonstrating our expertise in advanced prosthetic dentistry.
Complex Temporary Crowns Restore Patient's Smile in Just One Day with an Immediate Smile Makeover
Her dental implant looked artificial in her mouth and was impacting her smile. She had been very unhappy with her unsightly smile line and was beco...
Complex Multi-Faceted Treatment for Patient Unhappy With Her Artificial-Looking Crowns, Teeth and Gums
Many patients come to Elite Prosthetic Dentistry unhappy with the appearance of their smile. A particular patient who sought our help was very unha...
Complex Salvaging Ms. N’s Severely Broken-Down Upper and Lower Teeth from Gum and Bone Disease
Ms. N presented to us in complete distress with two lower anterior teeth that were about to fall out and wide gaps opening between her upper and lo...
Related Articles
Deepen your knowledge with additional insights on this topic.
Why are Some Temporary Crowns More Natural Than Others?
Temporary crowns fabricated in our in-house laboratory are made to blend with each individual’s lip line, facial pattern, and adjacent teeth in Washington, DC.
What Makes a Natural-Looking Crown?
A natural-looking crown blends with your gum tissue, matches your smile line, and has proper translucency and coloration. Washington, DC prosthodontist.
How is an Immediate Smile Makeover Performed?
An immediate smile makeover uses personalized temporary crowns crafted to match your facial pattern and smile line while final restorations are made.