Oh No, I Broke My Two Front Teeth-What Now?
Don’t Panic, Solutions Exist
Not to worry, even though you are panic stricken, you need not worry. Broken front teeth are one of the most distressing dental injuries because they’re so visible, but modern restorative dentistry offers excellent solutions. As long as your new dental crowns (caps) have the right anatomic form to match your smile line, lip line, and facial pattern, along with the right translucency and internal color (not surface stained), you will, once again, have a great smile.
A broken front tooth doesn’t have to define your smile. Whether the damage was caused by an accident, sports injury, or simple wear and tear, Dr. Marlin has successfully restored countless broken teeth to their natural appearance. The key is having the artistry and skill to create a restoration that blends seamlessly with your other teeth and matches the unique characteristics of your natural smile.
Expert Restoration of Broken Teeth
We invite you to see some actual patient examples of where Dr. Marlin repaired broken teeth to their healthy natural appearance. No one will even know that they were ever broken. The restoration process typically involves preparing the tooth and placing a custom-crafted crown made right here in our in-house dental lab. This ensures perfect color matching and fit that captures all the subtleties of natural tooth appearance.
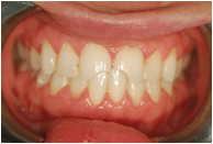
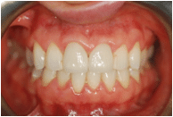
EXAMPLE #1 OF PATIENT WITH BROKEN FRONT TOOTH

Before: Broken front teeth

After: Restored front teeth with natural-looking crowns
EXAMPLE #2 OF PATIENT WITH BROKEN FRONT TOOTH

Before: Severely damaged front tooth

After: Restored tooth with seamless crown restoration
So if you or someone you know is suffering from a broken front tooth, schedule a consultation with Dr. Marlin today to discover a beautiful restoration to restore your great smile. Your confidence is just a few appointments away.
Related Case Studies
Explore similar cases demonstrating our expertise in advanced prosthetic dentistry.
Complex Temporary Crowns Restore Patient's Smile in Just One Day with an Immediate Smile Makeover
Her dental implant looked artificial in her mouth and was impacting her smile. She had been very unhappy with her unsightly smile line and was beco...
Complex Multi-Faceted Treatment for Patient Unhappy With Her Artificial-Looking Crowns, Teeth and Gums
Many patients come to Elite Prosthetic Dentistry unhappy with the appearance of their smile. A particular patient who sought our help was very unha...
Complex Salvaging Ms. N’s Severely Broken-Down Upper and Lower Teeth from Gum and Bone Disease
Ms. N presented to us in complete distress with two lower anterior teeth that were about to fall out and wide gaps opening between her upper and lo...
Related Articles
Deepen your knowledge with additional insights on this topic.
Why are Some Temporary Crowns More Natural Than Others?
Temporary crowns fabricated in our in-house laboratory are made to blend with each individual’s lip line, facial pattern, and adjacent teeth in Washington, DC.
What Makes a Natural-Looking Crown?
A natural-looking crown blends with your gum tissue, matches your smile line, and has proper translucency and coloration. Washington, DC prosthodontist.
How is an Immediate Smile Makeover Performed?
An immediate smile makeover uses personalized temporary crowns crafted to match your facial pattern and smile line while final restorations are made.