How Can I Have my Severely Worn Dentition Repaired?
Severely worn dentitions can make one very self-conscious, but with the right prosthetic approach, Dr. Gerald Marlin can completely restore both function and confidence.
Severely worn dentitions can make one very self-conscious, but they can be completely repaired with crowns. Veneers should not be used to repair the severely worn dentition, because they are not strong enough to resist the intense forces that caused the teeth to break down in the first place.
Mr. M was referred by his orthodontist for a smile makeover (Fig. 1), improving the function of his anterior teeth, which he had flattened (Fig. 2). After completion of his orthodontic therapy to realign his front teeth, we hand-crafted new crowns in our in-house laboratory having the right shape to match his lip line, facial pattern, and coloration and translucency.

Fig. 1: Severely Worn Dentition Making Him Self-Conscious

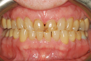
Fig. 2: Severe Grinding Habit Causing Years of Wear

Fig. 3: Custom Fabricated, Strong Crowns

Fig. 4: A Rejuvenated Smile
Frequently Asked Questions
How long will my new crowns last?
With meticulous home care and regular check-ups, you can expect your prosthetic crowns to last 10-15 years or more.
Will the procedure hurt?
We use local anesthesia and offer gentle sedation - most patients feel minimal to no discomfort during and after treatment.
Why not use veneers?
Veneers lack the thickness and strength needed to withstand the forces that caused your teeth to wear. Full-coverage crowns provide long-term protection.
How soon can I eat normally?
Most patients resume a normal diet immediately. We recommend avoiding very hard or sticky foods for the first week.
What maintenance is required?
Brush gently, floss daily, and see us every 3-6 months for hygiene visits to keep your crowns - and your smile - in perfect condition.
Related Case Studies
Explore similar cases demonstrating our expertise in advanced prosthetic dentistry.
Complex Temporary Crowns Restore Patient's Smile in Just One Day with an Immediate Smile Makeover
Her dental implant looked artificial in her mouth and was impacting her smile. She had been very unhappy with her unsightly smile line and was beco...
Complex Multi-Faceted Treatment for Patient Unhappy With Her Artificial-Looking Crowns, Teeth and Gums
Many patients come to Elite Prosthetic Dentistry unhappy with the appearance of their smile. A particular patient who sought our help was very unha...
Complex Salvaging Ms. N’s Severely Broken-Down Upper and Lower Teeth from Gum and Bone Disease
Ms. N presented to us in complete distress with two lower anterior teeth that were about to fall out and wide gaps opening between her upper and lo...
Related Articles
Deepen your knowledge with additional insights on this topic.
Why are Some Temporary Crowns More Natural Than Others?
Temporary crowns fabricated in our in-house laboratory are made to blend with each individual’s lip line, facial pattern, and adjacent teeth in Washington, DC.
What Makes a Natural-Looking Crown?
A natural-looking crown blends with your gum tissue, matches your smile line, and has proper translucency and coloration. Washington, DC prosthodontist.
How is an Immediate Smile Makeover Performed?
An immediate smile makeover uses personalized temporary crowns crafted to match your facial pattern and smile line while final restorations are made.